别名:AK 9; AKD1; AKD2; C6orf199; C6orf224; dJ70A9.1应用:IHC
反应种属:Human
规格:50μl/100μl
| Description |
|---|
| The protein encoded by this gene catalyzes the interconversion of nucleosides, possessing both nucleoside monophosphate and diphosphate kinase activities. The encoded protein uses these interconversions to maintain nucleoside homeostasis. |
| Specification | |
|---|---|
| Aliases | AK 9; AKD1; AKD2; C6orf199; C6orf224; dJ70A9.1 |
| Swissprot | Q5TCS8 |
| Host/Isotype | Rabbit IgG |
| Storage | Store at 4°C short term. Aliquot and store at -20°C long term. Avoid freeze/thaw cycles. |
| Species Reactivity | Human |
| Immunogen | Fusion protein of human AK9 |
| Formulation | pH7.4 PBS, 0.05% NaN3, 40% Glycerol |
| Application | |
|---|---|
| IHC | 1/50-1/300 |
| ELISA | 1/5000-1/10000 |
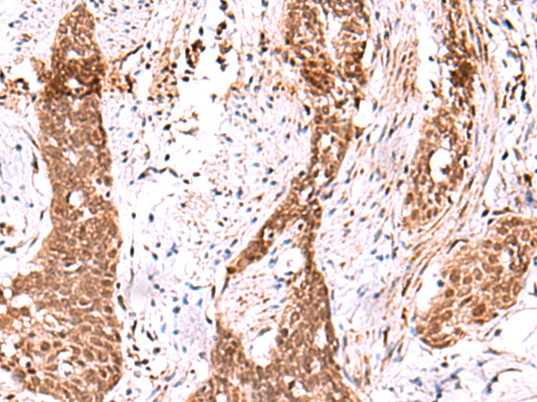
![]() |
The image is immunohistochemistry of paraffin-embedded Human lung cancer tissue using P03149(AK9 Antibody) at dilution 1/85. (Original magnification: ×200) |
![]() |
The image is immunohistochemistry of paraffin-embedded Human esophagus cancer tissue using P03149(AK9 Antibody) at dilution 1/85. (Original magnification: ×200) |
本公司的所有产品仅用于科学研究或者工业应用等非医疗目的,不可用于人类或动物的临床诊断或治疗,非药用,非食用。
暂无评论
本公司的所有产品仅用于科学研究或者工业应用等非医疗目的,不可用于人类或动物的临床诊断或治疗,非药用,非食用。
中文


发表回复