别名:ALDH1A1; ALDC; ALDH1; PUMB1; Retinal dehydrogenase 1; RALDH 1; RalDH1; ALDH-E1; ALHDII; Aldehyde dehydrogenase family 1 member A1; Aldehyde dehydrogenase; cytosolic应用:WB,IHC,ICC,FCM,IP
反应种属:Human,Mouse,Rat
规格:50μl/100μl
| Description |
|---|
| ALDH1A1 is a liver cytosolic isoform of acetaldehyde dehydrogenase and is involved in the major pathway of alcohol metabolism along with alcohol dehydrogenase . ALDH1A1 is also known as retinal dehydrogenase 1 and is involved in retinol metabolism, converting retinol to retinoic acid. |
| Specification | |
|---|---|
| Aliases | ALDH1A1; ALDC; ALDH1; PUMB1; Retinal dehydrogenase 1; RALDH 1; RalDH1; ALDH-E1; ALHDII; Aldehyde dehydrogenase family 1 member A1; Aldehyde dehydrogenase; cytosolic |
| Entrez GeneID | 216 |
| Swissprot | P00352 |
| WB Predicted band size | Calculated MW: 55 kDa; Observed MW: 55 kDa |
| Host/Isotype | Rabbit IgG |
| Storage | Store at 4°C short term. Aliquot and store at -20°C long term. Avoid freeze/thaw cycles. |
| Species Reactivity | Human,Mouse,Rat |
| Immunogen | A synthesized peptide derived from human ALDH1A1 |
| Formulation | Rabbit IgG in phosphate buffered saline , pH 7.4, 150mM NaCl, 0.02% sodium azide and 50% glycerol. |
| Application | |
|---|---|
| IP | 1/20 |
| WB | 1/500-1/1000 |
| IHC | 1/50-1/100 |
| ICC | 1/50-1/200 |
| FCM | 1/50-1/100 |
![]() |
Western blot analysis of ALDH1A1 in HepG2 lysates using ALDH1A1 antibody. |
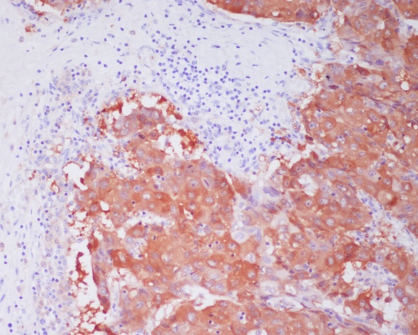
![]() |
Immunohistochemistry analysis of paraffin-embedded Human liver cancer using ALDH1A1 antibody.High-pressure and temperature Sodium Citrate pH 6.0 was used for antigen retrieval. |
本公司的所有产品仅用于科学研究或者工业应用等非医疗目的,不可用于人类或动物的临床诊断或治疗,非药用,非食用。
暂无评论
本公司的所有产品仅用于科学研究或者工业应用等非医疗目的,不可用于人类或动物的临床诊断或治疗,非药用,非食用。
中文


发表回复