别名:E3; ALDH4; ALDH7; ALDH9; TMABADH应用:WB,IHC
反应种属:Human, Mouse, Rat
规格:50μl/100μl
| Description |
|---|
| This protein belongs to the aldehyde dehydrogenase family of proteins. It has a high activity for oxidation of gamma-aminobutyraldehyde and other amino aldehydes. The enzyme catalyzes the dehydrogenation of gamma-aminobutyraldehyde to gamma-aminobutyric acid (GABA). This isozyme is a tetramer of identical 54-kD subunits. Converts gamma-trimethylaminobutyraldehyde into gamma-butyrobetaine. Catalyzes the irreversible oxidation of a broad range of aldehydes to the corresponding acids in an NAD-dependent reaction. |
| Specification | |
|---|---|
| Aliases | E3; ALDH4; ALDH7; ALDH9; TMABADH |
| Swissprot | P49189 |
| WB Predicted band size | 54 kDa |
| Host/Isotype | Rabbit IgG |
| Storage | Store at 4°C short term. Aliquot and store at -20°C long term. Avoid freeze/thaw cycles. |
| Species Reactivity | Human, Mouse, Rat |
| Immunogen | Synthetic peptide of human ALDH9A1 |
| Formulation | pH7.4 PBS, 0.05% NaN3, 40% Glycerol |
| Application | |
|---|---|
| WB | 1/200-1/1000 |
| IHC | 1/50-1/200 |
| ELISA | 1/2000-1/5000 |
![]() |
Gel: 8%SDS-PAGE, Lysate: 40 μg, Lane 1-3: Human fetal liver tissue, hela cells, Human fetal kidney tissue, Primary antibody: P11443(ALDH9A1 Antibody) at dilution 1/225, Secondary antibody: Goat anti rabbit IgG at 1/8000 dilution, Exposure time: 30 seconds |
![]() |
The image is immunohistochemistry of paraffin-embedded Human breast cancer tissue using P11443(ALDH9A1 Antibody) at dilution 1/50. (Original magnification: ×200) |
![]() |
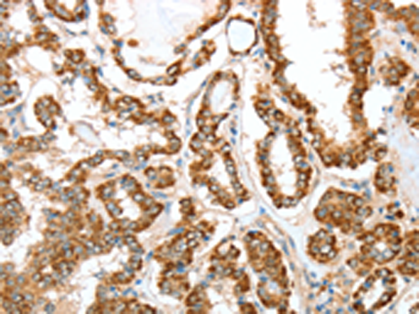
The image is immunohistochemistry of paraffin-embedded Human thyroid cancer tissue using P11443(ALDH9A1 Antibody) at dilution 1/50. (Original magnification: ×200) |
本公司的所有产品仅用于科学研究或者工业应用等非医疗目的,不可用于人类或动物的临床诊断或治疗,非药用,非食用。
暂无评论
本公司的所有产品仅用于科学研究或者工业应用等非医疗目的,不可用于人类或动物的临床诊断或治疗,非药用,非食用。
中文



发表回复