别名:ALDB; ALDO2应用:WB,IHC
反应种属:Human, Mouse, Rat
规格:50μl/100μl
| Description |
|---|
| Fructose-1,6-bisphosphate aldolase (EC 4.1.2.13) is a tetrameric glycolytic enzyme that catalyzes the reversible conversion of fructose-1,6-bisphosphate to glyceraldehyde 3-phosphate and dihydroxyacetone phosphate. Vertebrates have 3 aldolase isozymes which are distinguished by their electrophoretic and catalytic properties. Differences indicate that aldolases A, B, and C are distinct proteins, the products of a family of related ‘housekeeping’ genes exhibiting developmentally regulated expression of the different isozymes. The developing embryo produces aldolase A, which is produced in even greater amounts in adult muscle where it can be as much as 5% of total cellular protein. In adult liver, kidney and intestine, aldolase A expression is repressed and aldolase B is produced. In brain and other nervous tissue, aldolase A and C are expressed about equally. There is a high degree of homology between aldolase A and C. Defects in ALDOB cause hereditary fructose intolerance. |
| Specification | |
|---|---|
| Aliases | ALDB; ALDO2 |
| Swissprot | P05062 |
| WB Predicted band size | 39 kDa |
| Host/Isotype | Rabbit IgG |
| Storage | Store at 4°C short term. Aliquot and store at -20°C long term. Avoid freeze/thaw cycles. |
| Species Reactivity | Human, Mouse, Rat |
| Immunogen | Synthetic peptide of human ALDOB |
| Formulation | pH7.4 PBS, 0.05% NaN3, 40% Glycerol |
| Application | |
|---|---|
| WB | 1/500-1/2000 |
| IHC | 1/50-1/200 |
| ELISA | 1/2000-1/5000 |
![]() |
Gel: 10%SDS-PAGE, Lysate: 40 μg, Lane: Mouse liver tissue, Primary antibody: P04557(ALDOB Antibody) at dilution 1/200, Secondary antibody: Goat anti rabbit IgG at 1/8000 dilution, Exposure time: 2 seconds |
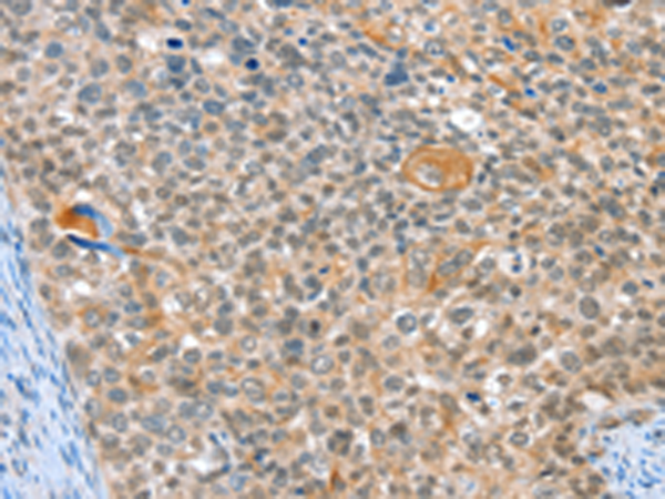
![]() |
The image is immunohistochemistry of paraffin-embedded Human cervical cancer tissue using P04557(ALDOB Antibody) at dilution 1/40. (Original magnification: ×200) |
![]() |
The image is immunohistochemistry of paraffin-embedded Human esophagus cancer tissue using P04557(ALDOB Antibody) at dilution 1/40. (Original magnification: ×200) |
本公司的所有产品仅用于科学研究或者工业应用等非医疗目的,不可用于人类或动物的临床诊断或治疗,非药用,非食用。
暂无评论
本公司的所有产品仅用于科学研究或者工业应用等非医疗目的,不可用于人类或动物的临床诊断或治疗,非药用,非食用。
中文



发表回复