别名:Intestinal-type alkaline phosphatase, IAP, Intestinal alkaline phosphatase, ALPI应用:WB,IHC,ICC
反应种属:Human
规格:50μl/100μl
| Description |
|---|
| There are at least four distinct but related alkaline phosphatases: intestinal, placental, placental-like, and liver/bone/kidney (tissue non-specific). The intestinal alkaline phosphatase gene encodes a digestive brush-border enzyme. This enzyme is upregulated during small intestinal epithelial cell differentiation. |
| Specification | |
|---|---|
| Aliases | Intestinal-type alkaline phosphatase, IAP, Intestinal alkaline phosphatase, ALPI |
| Entrez GeneID | 248 |
| Swissprot | P09923 |
| WB Predicted band size | 56.8kDa |
| Host/Isotype | Rabbit IgG |
| Storage | Store at 4°C short term. Aliquot and store at -20°C long term. Avoid freeze/thaw cycles. |
| Species Reactivity | Human |
| Immunogen | This Alkaline Phosphatase (ALPI) antibody is generated from rabbits immunized with a KLH conjugated synthetic peptide between 274-304 amino acids from the Central region of human Alkaline Phosphatase (ALPI). |
| Formulation | Purified polyclonal antibody supplied in PBS with 0.05% sodium azide. This antibody is purified through a protein A column, followed by peptide affinity purification. |
| Application | |
|---|---|
| WB | 1/1000 |
| IHC | 1/100 |
| ICC | 1/100 |
![]() |
Western blot analysis of lysate from human placenta tissue lysate, using ALPI Antibody (Center)(Cat. #P32789). P32789 was diluted at 1:1000. A goat anti-rabbit IgG H&L(HRP) at 1:10000 dilution was used as the secondary antibody. Lysate at 20ug. |
![]() |
Western blot analysis of lysate from human placenta tissue,using ALPI Antibody (Center)(Cat. #P32789).P32789 was diluted at 1:1000 at each lane. A goat anti-rabbit IgG H&L(HRP) at 1:5000 dilution was used as the secondary antibody.Lysate at 35ug per lane. |
![]() |
Fluorescent confocal image of HeLa cells stained with Alkaline Phosphatase (ALPI) (Center) antibody. HeLa cells were fixed with 4% PFA (20 min), permeabilized with Triton X-100 (0.2%, 30 min). Cells were then incubated with P32789 Alkaline Phosphatase (ALPI) (Center) primary antibody (1:100, 2 h at room temperature). For secondary antibody, Alexa Fluor® 488 conjugated donkey anti-rabbit antibody (green) was used (1:1000, 1h). Nuclei were counterstained with Hoechst 33342 (blue) (10 μg/ml, 5 min). Alkaline Phosphatase (ALPI) immunoreactivity is localized to the cytoplasm of HeLa cells. |
![]() |
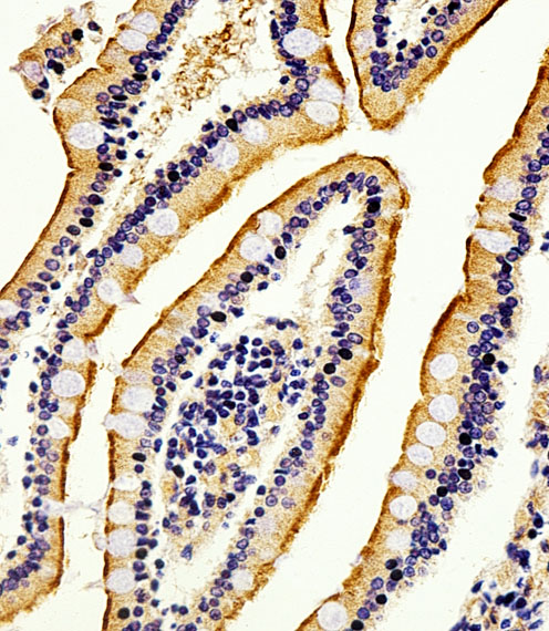
Immunohistochemical analysis of paraffin-embedded H. small intestine section using Alkaline Phosphatase (ALPI) Antibody(Center) (Cat#P32789). P32789 was diluted at 1:100 dilution. A peroxidase-conjugated goat anti-rabbit IgG at 1:400 dilution was used as the secondary antibody, followed by DAB staining. |
![]() |
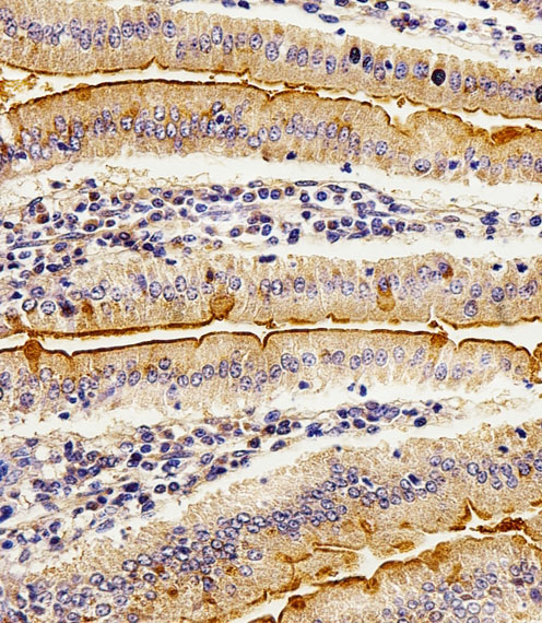
Immunohistochemical analysis of paraffin-embedded M.small intestine section using JAK2 Antibody(C-term)(Cat#P32789). P32789 was diluted at 1:100 dilution. A peroxidase-conjugated goat anti-rabbit IgG at 1:400 dilution was used as the secondary antibody, followed by DAB staining. |
本公司的所有产品仅用于科学研究或者工业应用等非医疗目的,不可用于人类或动物的临床诊断或治疗,非药用,非食用。
暂无评论
本公司的所有产品仅用于科学研究或者工业应用等非医疗目的,不可用于人类或动物的临床诊断或治疗,非药用,非食用。
中文





发表回复