别名:ALPL; Alkaline phosphatase; tissue-nonspecific isozyme; AP-TNAP; TNSALP; Alkaline phosphatase liver/bone/kidney isozyme应用:WB,IHC,ICC,FCM,IP
反应种属:Human,Mouse,Rat
规格:50μl/100μl
| Description |
|---|
| There are at least four distinct but related alkaline phosphatases: intestinal, placental, placental-like, and liver/bone/kidney (tissue non-specific). The first three are located together on chromosome 2, while the tissue non-specific form is located on chromosome 1. The product of this gene is a membrane bound glycosylated enzyme that is not expressed in any particular tissue and is, therefore, referred to as the tissue-nonspecific form of the enzyme. |
| Specification | |
|---|---|
| Aliases | ALPL; Alkaline phosphatase; tissue-nonspecific isozyme; AP-TNAP; TNSALP; Alkaline phosphatase liver/bone/kidney isozyme |
| Entrez GeneID | 249 |
| Swissprot | P05186 |
| WB Predicted band size | Calculated MW: 57 kDa; Observed MW: 75 kDa |
| Host/Isotype | Rabbit IgG |
| Storage | Store at 4°C short term. Aliquot and store at -20°C long term. Avoid freeze/thaw cycles. |
| Species Reactivity | Human,Mouse,Rat |
| Immunogen | A synthesized peptide derived from human Alkaline Phosphatase |
| Formulation | Rabbit IgG in phosphate buffered saline , pH 7.4, 150mM NaCl, 0.02% sodium azide and 50% glycerol. |
| Application | |
|---|---|
| IP | 1/20 |
| WB | 1/500-1/1000 |
| IHC | 1/50-1/100 |
| ICC | 1/50-1/200 |
| FCM | 1/50-1/100 |
![]() |
Western blot analysis of Alkaline Phosphatase in (1)HepG2 lysates; (2)JAR lysates using Alkaline Phosphatase antibody. |
![]() |
Western blot analysis of Alkaline Phosphatase in SKOV-3, Jurkat and MCF-7 lysates using Alkaline Phosphatase antibody. |
![]() |
Immunofluorescence analysis of Alkaline Phosphatase in Hela using Alkaline Phosphatase antibody. |
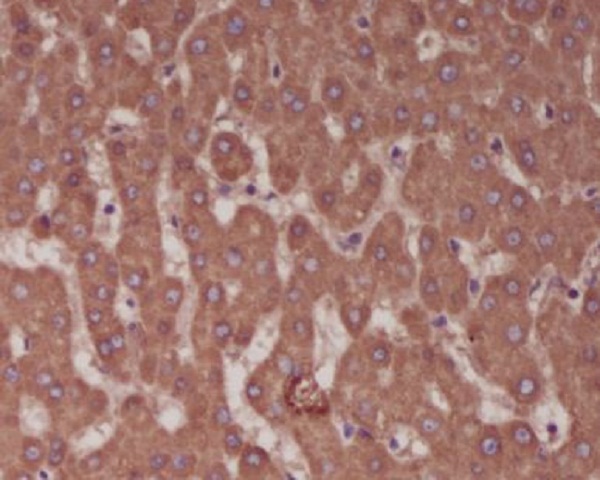
![]() |
Immunohistochemistry analysis of paraffin-embedded Human liver using Alkaline Phosphatase antibody.High-pressure and temperature Sodium Citrate pH 6.0 was used for antigen retrieval. |
本公司的所有产品仅用于科学研究或者工业应用等非医疗目的,不可用于人类或动物的临床诊断或治疗,非药用,非食用。
暂无评论
本公司的所有产品仅用于科学研究或者工业应用等非医疗目的,不可用于人类或动物的临床诊断或治疗,非药用,非食用。
中文




发表回复