别名:LOG15; 12-LOX; 15-LOX; 15-LOX-1应用:IHC
反应种属:Human, Mouse, Rat
规格:50μl/100μl
| Description |
|---|
| This gene encodes a member of the lipoxygenase family of proteins. The encoded enzyme acts on various polyunsaturated fatty acid substrates to generate various bioactive lipid mediators such as eicosanoids, hepoxilins, lipoxins, and other molecules. The encoded enzyme and its reaction products have been shown to regulate inflammation and immunity. Multiple pseudogenes of this gene have been identified in the human genome. |
| Specification | |
|---|---|
| Aliases | LOG15; 12-LOX; 15-LOX; 15-LOX-1 |
| Swissprot | P16050 |
| Host/Isotype | Rabbit IgG |
| Storage | Store at 4°C short term. Aliquot and store at -20°C long term. Avoid freeze/thaw cycles. |
| Species Reactivity | Human, Mouse, Rat |
| Immunogen | Synthetic peptide of human ALOX15 |
| Formulation | pH7.4 PBS, 0.05% NaN3, 40% Glycerol |
| Application | |
|---|---|
| IHC | 1/50-1/200 |
| ELISA | 1/5000-1/10000 |
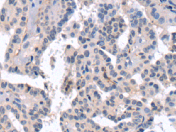
![]() |
The image is immunohistochemistry of paraffin-embedded Human liver cancer tissue using P11557(ALOX15 Antibody) at dilution 1/50. (Original magnification: ×200) |
![]() |
The image is immunohistochemistry of paraffin-embedded Human thyroid cancer tissue using P11557(ALOX15 Antibody) at dilution 1/50. (Original magnification: ×200) |
本公司的所有产品仅用于科学研究或者工业应用等非医疗目的,不可用于人类或动物的临床诊断或治疗,非药用,非食用。
暂无评论
本公司的所有产品仅用于科学研究或者工业应用等非医疗目的,不可用于人类或动物的临床诊断或治疗,非药用,非食用。
中文


发表回复