别名:Arachidonate 15-lipoxygenase B, 15-LOX-B, 15-lipoxygenase 2, 15-LOX-2, Arachidonate 15-lipoxygenase type II, Linoleate 13-lipoxygenase 15-LOb, 11311-, ALOX15B应用:WB,IHC
反应种属:Human
规格:50μl/100μl
| Description |
|---|
| ALOX15B encodes a member of the lipoxygenase family of structurally related nonheme iron dioxygenases involved in the production of fatty acid hydroperoxides. The encoded protein converts arachidonic acid exclusively to 15S-hydroperoxyeicosatetraenoic acid, while metabolizing linoleic acid less effectively. This gene is located in a cluster of related genes and a pseudogene that spans approximately 100 kilobases on the short arm of chromosome 17. |
| Specification | |
|---|---|
| Aliases | Arachidonate 15-lipoxygenase B, 15-LOX-B, 15-lipoxygenase 2, 15-LOX-2, Arachidonate 15-lipoxygenase type II, Linoleate 13-lipoxygenase 15-LOb, 11311-, ALOX15B |
| Entrez GeneID | 247 |
| Swissprot | O15296 |
| WB Predicted band size | 75.9kDa |
| Host/Isotype | Rabbit IgG |
| Storage | Store at 4°C short term. Aliquot and store at -20°C long term. Avoid freeze/thaw cycles. |
| Species Reactivity | Human |
| Immunogen | This ALOX15B antibody is generated from rabbits immunized with a KLH conjugated synthetic peptide between 597-627 amino acids from the C-terminal region of human ALOX15B. |
| Formulation | Purified polyclonal antibody supplied in PBS with 0.05% sodium azide. This antibody is prepared by Saturated Ammonium Sulfate (SAS) precipitation followed by dialysis against PBS. |
| Application | |
|---|---|
| WB | 1/1000 |
| IHC | 1/100-1/500 |
![]() |
Western blot analysis of ALOX15B Antibody (C-term) (Cat. #P30472) in CEM cell line lysates (35ug/lane). ALOX15B (arrow) was detected using the purified Pab. |
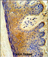
![]() |
Formalin-fixed and paraffin-embedded human skin tissue reacted with PSMD13 Antibody (C-term), which was peroxidase-conjugated to the secondary antibody, followed by DAB staining. This data demonstrates the use of this antibody for immunohistochemistry; clinical relevance has not been evaluated. |
本公司的所有产品仅用于科学研究或者工业应用等非医疗目的,不可用于人类或动物的临床诊断或治疗,非药用,非食用。
暂无评论
本公司的所有产品仅用于科学研究或者工业应用等非医疗目的,不可用于人类或动物的临床诊断或治疗,非药用,非食用。
中文


发表回复