别名:Arachidonate 5-lipoxygenase-activating protein, FLAP, MK-886-binding protein, ALOX5AP, FLAP应用:WB,IHC
反应种属:Human
规格:50μl/100μl
| Description |
|---|
| ALOX5AP is a protein which, with 5-lipoxygenase, is required for leukotriene synthesis. Leukotrienes are arachidonic acid metabolites which have been implicated in various types of inflammatory responses, including asthma, arthritis and psoriasis. This protein localizes to the plasma membrane. Inhibitors of its function impede translocation of 5-lipoxygenase from the cytoplasm to the cell membrane and inhibit 5-lipoxygenase activation. |
| Specification | |
|---|---|
| Aliases | Arachidonate 5-lipoxygenase-activating protein, FLAP, MK-886-binding protein, ALOX5AP, FLAP |
| Entrez GeneID | 241 |
| Swissprot | P20292 |
| WB Predicted band size | 18.2kDa |
| Host/Isotype | Rabbit IgG |
| Storage | Store at 4°C short term. Aliquot and store at -20°C long term. Avoid freeze/thaw cycles. |
| Species Reactivity | Human |
| Immunogen | This ALOX5AP antibody is generated from rabbits immunized with a KLH conjugated synthetic peptide between 86-117 amino acids from the Central region of human ALOX5AP. |
| Formulation | Purified polyclonal antibody supplied in PBS with 0.05% sodium azide. This antibody is prepared by Saturated Ammonium Sulfate (SAS) precipitation followed by dialysis against PBS. |
| Application | |
|---|---|
| WB | 1/1000 |
| IHC | 1/100-1/500 |
![]() |
Western blot analysis of anti-ALOX5AP Antibody (Center) (Cat.#P30336) in K562 cell line lysates (35ug/lane). ALOX5AP(arrow) was detected using the purified Pab. |
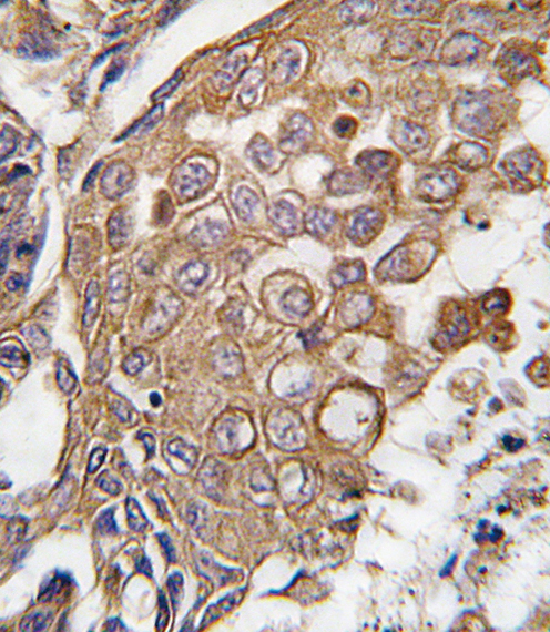
![]() |
Formalin-fixed and paraffin-embedded human lung carcinoma tissue reacted with ALOX5AP antibody (Center), which was peroxidase-conjugated to the secondary antibody, followed by DAB staining. This data demonstrates the use of this antibody for immunohistochemistry; clinical relevance has not been evaluated. |
本公司的所有产品仅用于科学研究或者工业应用等非医疗目的,不可用于人类或动物的临床诊断或治疗,非药用,非食用。
暂无评论
本公司的所有产品仅用于科学研究或者工业应用等非医疗目的,不可用于人类或动物的临床诊断或治疗,非药用,非食用。
中文


发表回复