别名:Alpha-fetoprotein; Alpha-1-fetoprotein; Alpha-fetoglobulin应用:WB,IHC
反应种属:Human
规格:50μl/100μl
| Description |
|---|
| Alpha-fetoprotein (AFP) is a 65 kDa glycoprotein found in the mammalian fetal liver, yolk sac, and GI tract. In normal adult cells, p53 binds to the repressor region of the AFP gene, thereby blocking transcription. Mutations in both p53 and β-catenin are associated with aberrant expression of AFP. Research studies have shown that elevated serum AFP levels are predictive of hepatocellular carcinoma . |
| Specification | |
|---|---|
| Aliases | Alpha-fetoprotein; Alpha-1-fetoprotein; Alpha-fetoglobulin |
| Entrez GeneID | 174 |
| Swissprot | P02771 |
| WB Predicted band size | Calculated MW: 69 kDa; Observed MW: 69 kDa |
| Host/Isotype | Rabbit IgG |
| Storage | Store at 4°C short term. Aliquot and store at -20°C long term. Avoid freeze/thaw cycles. |
| Species Reactivity | Human |
| Immunogen | The antiserum was produced against synthesized peptide derived from the Internal region of human AFP. AA range:371-420 |
| Formulation | Liquid in PBS containing 50% glycerol, 0.5% BSA and 0.02% sodium azide, pH 7.3. |
| Application | |
|---|---|
| WB | 1/500-1/1000 |
| IHC | 1/50-1/100 |
| ELISA | 1/10000 |
![]() |
Western blot analysis of alpha 1 Fetoprotein in mouse liver, mouse serum lysates using alpha 1 Fetoprotein antibody. |
![]() |
Immunohistochemistry analysis of paraffin-embedded rat brain using alpha 1 Fetoprotein antibody.High-pressure and temperature Sodium Citrate pH 6.0 was used for antigen retrieval. |
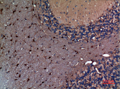
![]() |
Immunohistochemistry analysis of paraffin-embedded mouse brain using alpha 1 Fetoprotein antibody. High-pressure and temperature Sodium Citrate pH 6.0 was used for antigen retrieval. |
![]() |
Immunohistochemistry analysis of paraffin-embedded mouse brain using alpha 1 Fetoprotein antibody.High-pressure and temperature Sodium Citrate pH 6.0 was used for antigen retrieval. |
本公司的所有产品仅用于科学研究或者工业应用等非医疗目的,不可用于人类或动物的临床诊断或治疗,非药用,非食用。
暂无评论
本公司的所有产品仅用于科学研究或者工业应用等非医疗目的,不可用于人类或动物的临床诊断或治疗,非药用,非食用。
中文




发表回复