别名:AMD; SAMDC; ADOMETDC应用:IHC
反应种属:Human, Mouse, Rat
规格:50μl/100μl
| Description |
|---|
| This gene encodes an important intermediate enzyme in polyamine biosynthesis. The polyamines spermine, spermidine, and putrescine are low-molecular-weight aliphatic amines essential for cellular proliferation and tumor promotion. Two alternatively spliced transcript variants that encode different proteins have been identified. Pseudogenes of this gene are found on chromosomes 5, 6, 10, X and Y. |
| Specification | |
|---|---|
| Aliases | AMD; SAMDC; ADOMETDC |
| Swissprot | P17707 |
| Host/Isotype | Rabbit IgG |
| Storage | Store at 4°C short term. Aliquot and store at -20°C long term. Avoid freeze/thaw cycles. |
| Species Reactivity | Human, Mouse, Rat |
| Immunogen | Synthetic peptide of human AMD1 |
| Formulation | pH7.4 PBS, 0.05% NaN3, 40% Glycerol |
| Application | |
|---|---|
| IHC | 1/25-1/100 |
| ELISA | 1/2000-1/5000 |
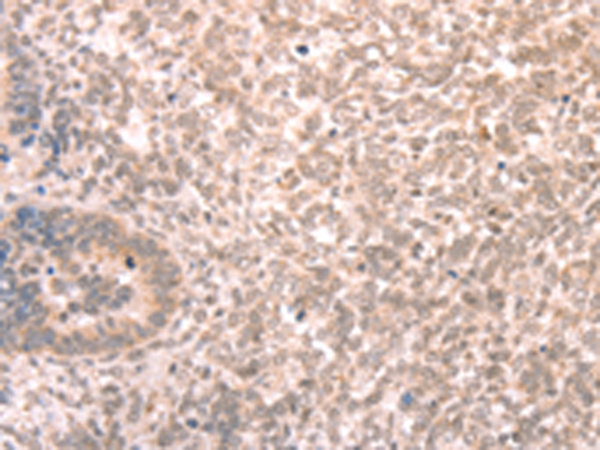
![]() |
The image is immunohistochemistry of paraffin-embedded Human gasrtic cancer tissue using P11181(AMD1 Antibody) at dilution 1/20. (Original magnification: ×200) |
![]() |
The image is immunohistochemistry of paraffin-embedded Human ovarian cancer tissue using P11181(AMD1 Antibody) at dilution 1/20. (Original magnification: ×200) |
本公司的所有产品仅用于科学研究或者工业应用等非医疗目的,不可用于人类或动物的临床诊断或治疗,非药用,非食用。
暂无评论
本公司的所有产品仅用于科学研究或者工业应用等非医疗目的,不可用于人类或动物的临床诊断或治疗,非药用,非食用。
中文


发表回复