别名:应用:WB,IHC
反应种属:Human
规格:50μl/100μl
| Description |
|---|
| AMZ1 shares sequence similarity with archaeal metalloproteases called archaemetzincins, but it appears to act predominantly as a basic aminopeptidase. Inhibited by the general metalloprotease inhibitors o-phenanthroline and batimastat. Also significantly inhibited by amastatin, which is an inhibitor of aminopeptidases. Not inhibited by 4-(2-aminoethyl)-benzenesulfonyl fluoride, E-64, and TIMPS (tissue inhibitors of metalloproteinases), which are inhibitors of serine, cysteine, and matrix metalloproteases, respectively. |
| Specification | |
|---|---|
| Swissprot | Q400G9 |
| WB Predicted band size | 55 kDa |
| Host/Isotype | Rabbit IgG |
| Storage | Store at 4°C short term. Aliquot and store at -20°C long term. Avoid freeze/thaw cycles. |
| Species Reactivity | Human |
| Immunogen | Synthetic peptide of human AMZ1 |
| Formulation | pH7.4 PBS, 0.05% NaN3, 40% Glycerol |
| Application | |
|---|---|
| WB | 1/500-1/2000 |
| IHC | 1/50-1/200 |
| ELISA | 1/2000-1/5000 |
![]() |
Gel: 8%SDS-PAGE, Lysate: 40 μg, Lane 1-2: Human fetal brain tissue, Human liver tissue, Primary antibody: P11476(AMZ1 Antibody) at dilution 1/1000, Secondary antibody: Goat anti rabbit IgG at 1/8000 dilution, Exposure time: 3 minutes |
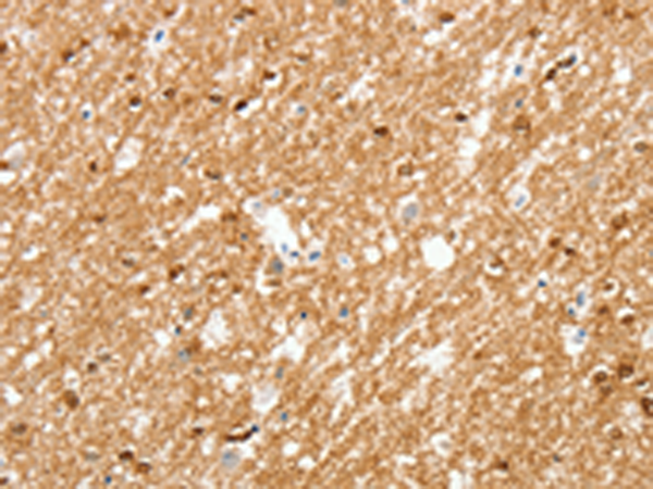
![]() |
The image is immunohistochemistry of paraffin-embedded Human brain tissue using P11476(AMZ1 Antibody) at dilution 1/80. (Original magnification: ×200) |
本公司的所有产品仅用于科学研究或者工业应用等非医疗目的,不可用于人类或动物的临床诊断或治疗,非药用,非食用。
暂无评论
本公司的所有产品仅用于科学研究或者工业应用等非医疗目的,不可用于人类或动物的临床诊断或治疗,非药用,非食用。
中文


发表回复