别名:APC15; HSPC020; C11orf51应用:IHC
反应种属:Human, Mouse, Rat
规格:50μl/100μl
| Description |
|---|
| ANAPC15 is a component of the anaphase promoting complex/cyclosome (APC/C), a cell cycle-regulated E3 ubiquitin ligase that controls progression through mitosis and the G1 phase of the cell cycle. In the complex, it plays a role in the release of the mitotic checkpoint complex (MCC) from the APC/C: not required for APC/C activity itself, but promotes the turnover of CDC20 and MCC on the APC/C, thereby participating to the responsiveness of the spindle assembly checkpoint. It is also required for degradation of CDC20. |
| Specification | |
|---|---|
| Aliases | APC15; HSPC020; C11orf51 |
| Swissprot | P60006 |
| Host/Isotype | Rabbit IgG |
| Storage | Store at 4°C short term. Aliquot and store at -20°C long term. Avoid freeze/thaw cycles. |
| Species Reactivity | Human, Mouse, Rat |
| Immunogen | Synthetic peptide of human ANAPC15 |
| Formulation | pH7.4 PBS, 0.05% NaN3, 40% Glycerol |
| Application | |
|---|---|
| IHC | 1/40-1/200 |
| ELISA | 1/5000-1/10000 |
![]() |
The image is immunohistochemistry of paraffin-embedded Human ovarian cancer tissue using P12975(ANAPC15 Antibody) at dilution 1/70. (Original magnification: ×200) |
![]() |
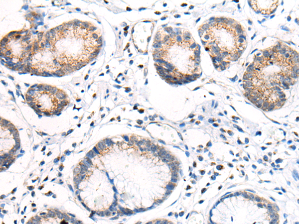
The image is immunohistochemistry of paraffin-embedded Human gastric cancer tissue using P12975(ANAPC15 Antibody) at dilution 1/70. (Original magnification: ×200) |
本公司的所有产品仅用于科学研究或者工业应用等非医疗目的,不可用于人类或动物的临床诊断或治疗,非药用,非食用。
暂无评论
本公司的所有产品仅用于科学研究或者工业应用等非医疗目的,不可用于人类或动物的临床诊断或治疗,非药用,非食用。
中文


发表回复