别名:ANKRA应用:IHC
反应种属:Human, Mouse
规格:50μl/100μl
| Description |
|---|
| This protein may facilitate endocytosis by linking megalin to components of the cytoskeleton or endocytic machinery. ANKRA2 is a megalin- and BKCa potassium channel-interacting factor. It is a protein known to interact with HDAC4 and HDAC5.ANKRA2 is important for transcriptional repression by AhRR. |
| Specification | |
|---|---|
| Aliases | ANKRA |
| Swissprot | Q9H9E1 |
| Host/Isotype | Rabbit IgG |
| Storage | Store at 4°C short term. Aliquot and store at -20°C long term. Avoid freeze/thaw cycles. |
| Species Reactivity | Human, Mouse |
| Immunogen | Synthetic peptide of human ANKRA2 |
| Formulation | pH7.4 PBS, 0.05% NaN3, 40% Glycerol |
| Application | |
|---|---|
| IHC | 1/25-1/100 |
| ELISA | 1/2000-1/5000 |
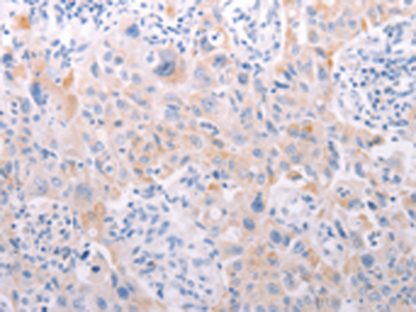
![]() |
The image is immunohistochemistry of paraffin-embedded Human colon cancer tissue using P11187(ANKRA2 Antibody) at dilution 1/25. (Original magnification: ×200) |
![]() |
The image is immunohistochemistry of paraffin-embedded Human lung cancer tissue using P11187(ANKRA2 Antibody) at dilution 1/25. (Original magnification: ×200) |
本公司的所有产品仅用于科学研究或者工业应用等非医疗目的,不可用于人类或动物的临床诊断或治疗,非药用,非食用。
暂无评论
本公司的所有产品仅用于科学研究或者工业应用等非医疗目的,不可用于人类或动物的临床诊断或治疗,非药用,非食用。
中文


发表回复