别名:Ankyrin repeat domain-containing protein SOWAHC, Ankyrin repeat domain-containing protein 57, Protein sosondowah homolog C, SOWAHC, ANKRD57, C2orf26应用:WB,IHC
反应种属:Human
规格:50μl/100μl
| Specification | |
|---|---|
| Aliases | Ankyrin repeat domain-containing protein SOWAHC, Ankyrin repeat domain-containing protein 57, Protein sosondowah homolog C, SOWAHC, ANKRD57, C2orf26 |
| Entrez GeneID | 65124 |
| Swissprot | Q53LP3 |
| WB Predicted band size | 55.7kDa |
| Host/Isotype | Rabbit IgG |
| Storage | Store at 4°C short term. Aliquot and store at -20°C long term. Avoid freeze/thaw cycles. |
| Species Reactivity | Human |
| Immunogen | This ANKRD57 antibody is generated from rabbits immunized with a KLH conjugated synthetic peptide between 479-507 amino acids from the C-terminal region of human ANKRD57. |
| Formulation | Purified polyclonal antibody supplied in PBS with 0.05% sodium azide. This antibody is purified through a protein A column, followed by peptide affinity purification. |
| Application | |
|---|---|
| WB | 1/1000 |
| IHC | 1/100-1/500 |
![]() |
ANKRD57 Antibody (C-term) (Cat. #P30716) western blot analysis in MDA-MB231,HepG2,A549 cell line lysates (35ug/lane).This demonstrates the ANKRD57 antibody detected the ANKRD57 protein (arrow). |
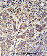
![]() |
ANKRD57 Antibody (C-term) (Cat. #P30716) immunohistochemistry analysis in formalin fixed and paraffin embedded human cervix carcinoma followed by peroxidase conjugation of the secondary antibody and DAB staining. This data demonstrates the use of the ANKRD57 Antibody (C-term) for immunohistochemistry. Clinical relevance has not been evaluated. |
本公司的所有产品仅用于科学研究或者工业应用等非医疗目的,不可用于人类或动物的临床诊断或治疗,非药用,非食用。
暂无评论
本公司的所有产品仅用于科学研究或者工业应用等非医疗目的,不可用于人类或动物的临床诊断或治疗,非药用,非食用。
中文


发表回复