别名:PP32R1应用:IHC
反应种属:Human
规格:50μl/100μl
| Description |
|---|
| Phosphoprotein 32 (PP32) is a tumor suppressor that can inhibit several types of cancers, including prostate and breast cancers. The protein encoded by this gene is one of at least two proteins that are similar in amino acid sequence to PP32 and are part of the same acidic nuclear phosphoprotein gene family. However, unlike PP32, the encoded protein is tumorigenic. The tumor suppressor function of PP32 has been localized to a 25 amino acid region that is divergent between PP32 and the protein encoded by this gene. This gene does not contain introns. |
| Specification | |
|---|---|
| Aliases | PP32R1 |
| Swissprot | O43423 |
| Host/Isotype | Rabbit IgG |
| Storage | Store at 4°C short term. Aliquot and store at -20°C long term. Avoid freeze/thaw cycles. |
| Species Reactivity | Human |
| Immunogen | Synthetic peptide of human ANP32C |
| Formulation | pH7.4 PBS, 0.05% NaN3, 40% Glycerol |
| Application | |
|---|---|
| IHC | 1/25-1/100 |
| ELISA | 1/1000-1/2000 |
![]() |
The image is immunohistochemistry of paraffin-embedded Human thyroid cancer tissue using P04326(ANP32C Antibody) at dilution 1/30. (Original magnification: ×200) |
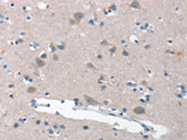
![]() |
The image is immunohistochemistry of paraffin-embedded Human brain tissue using P04326(ANP32C Antibody) at dilution 1/30. (Original magnification: ×200) |
本公司的所有产品仅用于科学研究或者工业应用等非医疗目的,不可用于人类或动物的临床诊断或治疗,非药用,非食用。
暂无评论
本公司的所有产品仅用于科学研究或者工业应用等非医疗目的,不可用于人类或动物的临床诊断或治疗,非药用,非食用。
中文


发表回复