别名:Serine/threonine-protein phosphatase 6 regulatory ankyrin repeat subunit B, PP6-ARS-B, Serine/threonine-protein phosphatase 6 regulatory subunit ARS-B, Ankyrin repeat domain-containing protein 44, ANKRD44应用:WB,IHC
反应种属:Human
规格:50μl/100μl
| Description |
|---|
| Putative regulatory subunit of protein phospatase 6 (PP6) that may be involved in the recognition of phosphoprotein substrates. |
| Specification | |
|---|---|
| Aliases | Serine/threonine-protein phosphatase 6 regulatory ankyrin repeat subunit B, PP6-ARS-B, Serine/threonine-protein phosphatase 6 regulatory subunit ARS-B, Ankyrin repeat domain-containing protein 44, ANKRD44 |
| Entrez GeneID | 91526 |
| Swissprot | Q8N8A2 |
| WB Predicted band size | 107.6kDa |
| Host/Isotype | Rabbit IgG |
| Storage | Store at 4°C short term. Aliquot and store at -20°C long term. Avoid freeze/thaw cycles. |
| Species Reactivity | Human |
| Immunogen | This ANR44 antibody is generated from rabbits immunized with a KLH conjugated synthetic peptide between 481-510 amino acids from the Central region of human ANR44. |
| Formulation | Purified polyclonal antibody supplied in PBS with 0.05% sodium azide. This antibody is purified through a protein A column, followed by peptide affinity purification. |
| Application | |
|---|---|
| WB | 1/1000 |
| IHC | 1/100-1/500 |
![]() |
ANR44 Antibody (Center) (Cat. #P30849) western blot analysis in A375 cell line lysates (35ug/lane).This demonstrates the ANR44 antibody detected the ANR44 protein (arrow). |
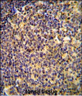
![]() |
ANR44 Antibody (Center) (Cat. #P30849) immunohistochemistry analysis in formalin fixed and paraffin embedded human tonsil tissue followed by peroxidase conjugation of the secondary antibody and DAB staining. This data demonstrates the use of the ANR44 Antibody (Center) for immunohistochemistry. Clinical relevance has not been evaluated. |
本公司的所有产品仅用于科学研究或者工业应用等非医疗目的,不可用于人类或动物的临床诊断或治疗,非药用,非食用。
暂无评论
本公司的所有产品仅用于科学研究或者工业应用等非医疗目的,不可用于人类或动物的临床诊断或治疗,非药用,非食用。
中文


发表回复