别名:ANX31应用:WB,IHC
反应种属:Human
规格:50μl/100μl
| Description |
|---|
| The annexins are a family of calcium-dependent phospholipid-binding proteins. Members of the annexin family contain 4 internal repeat domains, each of which includes a type II calcium-binding site. The calcium-binding sites are required for annexins to aggregate and cooperatively bind anionic phospholipids and extracellular matrix proteins. This gene encodes a divergent member of the annexin protein family in which all four homologous type II calcium-binding sites in the conserved tetrad core contain amino acid substitutions that ablate their function. However, structural analysis suggests that the conserved putative ion channel formed by the tetrad core is intact. |
| Specification | |
|---|---|
| Aliases | ANX31 |
| Entrez GeneID | 8416; |
| Swissprot | O76027 |
| WB Predicted band size | 38kDa |
| Storage | Store at 4°C short term. Aliquot and store at -20°C long term. Avoid freeze/thaw cycles. |
| Species Reactivity | Human |
| Immunogen | Full length fusion protein |
| Formulation | PBS with 0.02% sodium azide,50% glycerol,pH7.3. |
| Application | |
|---|---|
| WB | 1/200-1/1000 |
| IHC | 1/50-1/200 |
![]() |
Gel: 12%SDS-PAGE Lysates (from left to right): Human fetal kidney and liver cancer tissue Amount of lysate: 40ug per lane Primary antibody: 1/200 dilution Secondary antibody dilution: 1/8000 Exposure time: 1 minute |
![]() |
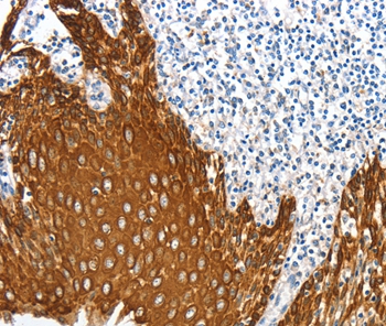
Immunohistochemical analysis of paraffin-embedded Human tonsil tissue using P42801 at dilution 1/20. |
本公司的所有产品仅用于科学研究或者工业应用等非医疗目的,不可用于人类或动物的临床诊断或治疗,非药用,非食用。
暂无评论
本公司的所有产品仅用于科学研究或者工业应用等非医疗目的,不可用于人类或动物的临床诊断或治疗,非药用,非食用。
中文


发表回复