别名:应用:IHC
反应种属:Human, Mouse
规格:50μl/100μl
| Description |
|---|
| This locus encodes both the light and heavy subunits of acyloxyacyl hydrolase. The encoded enzyme catalyzes the hydrolysis of acyloxylacyl-linked fatty acyl chains from bacterial lipopolysaccharides, effectively detoxifying these molecules. The encoded protein may play a role in modulating host inflammatory response to gram-negative bacteria. Alternatively spliced transcript variants have been described. |
| Specification | |
|---|---|
| Swissprot | P28039 |
| Host/Isotype | Rabbit IgG |
| Storage | Store at 4°C short term. Aliquot and store at -20°C long term. Avoid freeze/thaw cycles. |
| Species Reactivity | Human, Mouse |
| Immunogen | Fusion protein of human AOAH |
| Formulation | pH7.4 PBS, 0.05% NaN3, 40% Glycerol |
| Application | |
|---|---|
| IHC | 1/30-1/150 |
| ELISA | 1/5000-1/10000 |
![]() |
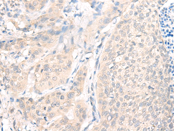
The image is immunohistochemistry of paraffin-embedded Human thyroid cancer tissue using P02777(AOAH Antibody) at dilution 1/25. (Original magnification: ×200) |
![]() |
The image is immunohistochemistry of paraffin-embedded Human cervical cancer tissue using P02777(AOAH Antibody) at dilution 1/25. (Original magnification: ×200) |
本公司的所有产品仅用于科学研究或者工业应用等非医疗目的,不可用于人类或动物的临床诊断或治疗,非药用,非食用。
暂无评论
本公司的所有产品仅用于科学研究或者工业应用等非医疗目的,不可用于人类或动物的临床诊断或治疗,非药用,非食用。
中文


发表回复