别名:APLN; APEL; Apelin; APJ endogenous ligand应用:IHC
反应种属:Human,Mouse,Rat
规格:50μl/100μl
| Description |
|---|
| Endogenous ligand for the apelin receptor (APLNR). |
| Specification | |
|---|---|
| Aliases | APLN; APEL; Apelin; APJ endogenous ligand |
| Entrez GeneID | 8862 |
| Swissprot | Q9ULZ1 |
| Host/Isotype | Rabbit IgG |
| Storage | Store at 4°C short term. Aliquot and store at -20°C long term. Avoid freeze/thaw cycles. |
| Species Reactivity | Human,Mouse,Rat |
| Immunogen | The antiserum was produced against synthesized peptide derived from the C-terminal region of human APLN. AA range:28-77 |
| Formulation | Liquid in PBS containing 50% glycerol, 0.5% BSA and 0.02% sodium azide, pH 7.3. |
| Application | |
|---|---|
| IHC | 1/50-1/100 |
| ELISA | 1/10000 |
![]() |
Immunohistochemical analysis of paraffin-embedded Human tonsils using Apelin antibody.High-pressure and temperature Sodium Citrate pH 6.0 was used for antigen retrieval. |
![]() |
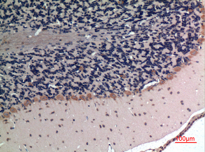
Immunohistochemistry analysis of paraffin-embedded rat brain using Apelin antibody.High-pressure and temperature Sodium Citrate pH 6.0 was used for antigen retrieval. |
![]() |
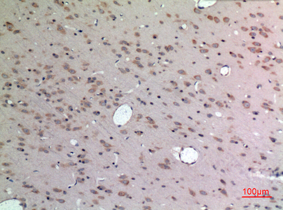
Immunohistochemistry analysis of paraffin-embedded rat brain using Apelin antibody.High-pressure and temperature Sodium Citrate pH 6.0 was used for antigen retrieval. |
本公司的所有产品仅用于科学研究或者工业应用等非医疗目的,不可用于人类或动物的临床诊断或治疗,非药用,非食用。
暂无评论
本公司的所有产品仅用于科学研究或者工业应用等非医疗目的,不可用于人类或动物的临床诊断或治疗,非药用,非食用。
中文



发表回复