别名:APE; APX; APE1; APEN; APEX; HAP1; REF1应用:WB,IHC
反应种属:Human, Mouse, Rat
规格:50μl/100μl
| Description |
|---|
| Apurinic/apyrimidinic (AP) sites occur frequently in DNA molecules by spontaneous hydrolysis, by DNA damaging agents or by DNA glycosylases that remove specific abnormal bases. AP sites are pre-mutagenic lesions that can prevent normal DNA replication so the cell contains systems to identify and repair such sites. Class II AP endonucleases cleave the phosphodiester backbone 5′ to the AP site. This gene encodes the major AP endonuclease in human cells. Splice variants have been found for this gene; all encode the same protein. |
| Specification | |
|---|---|
| Aliases | APE; APX; APE1; APEN; APEX; HAP1; REF1 |
| Swissprot | P27695 |
| WB Predicted band size | 36 kDa |
| Host/Isotype | Rabbit IgG |
| Storage | Store at 4°C short term. Aliquot and store at -20°C long term. Avoid freeze/thaw cycles. |
| Species Reactivity | Human, Mouse, Rat |
| Immunogen | Fusion protein of human APEX1 |
| Formulation | pH7.4 PBS, 0.05% NaN3, 40% Glycerol |
| Application | |
|---|---|
| WB | 1/500-1/2000 |
| IHC | 1/15-1/50 |
| ELISA | 1/2000-1/5000 |
![]() |
Gel: 12%SDS-PAGE, Lysate: 40 μg, Lane 1-6: Hela cells, human liver cancer tissue, Raji cells, Jurkat cells, 293T cells, PC3 cells, Primary antibody: P07075(APEX1 Antibody) at dilution 1/450, Secondary antibody: Goat anti rabbit IgG at 1/8000 dilution, Exposure time: 1 minute |
![]() |
The image is immunohistochemistry of paraffin-embedded Human colon cancer tissue using P07075(APEX1 Antibody) at dilution 1/20. (Original magnification: ×200) |
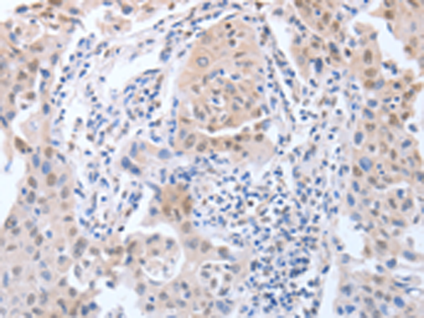
![]() |
The image is immunohistochemistry of paraffin-embedded Human lung cancer tissue using P07075(APEX1 Antibody) at dilution 1/20. (Original magnification: ×200) |
本公司的所有产品仅用于科学研究或者工业应用等非医疗目的,不可用于人类或动物的临床诊断或治疗,非药用,非食用。
暂无评论
本公司的所有产品仅用于科学研究或者工业应用等非医疗目的,不可用于人类或动物的临床诊断或治疗,非药用,非食用。
中文



发表回复