别名:APLP应用:WB,IHC
反应种属:Human, Mouse
规格:50μl/100μl
| Description |
|---|
| This gene encodes a member of the highly conserved amyloid precursor protein gene family. The encoded protein is a membrane-associated glycoprotein that is cleaved by secretases in a manner similar to amyloid beta A4 precursor protein cleavage. This cleavage liberates an intracellular cytoplasmic fragment that may act as a transcriptional activator. The encoded protein may also play a role in synaptic maturation during cortical development. Alternatively spliced transcript variants encoding different isoforms have been described. |
| Specification | |
|---|---|
| Aliases | APLP |
| Swissprot | P51693 |
| WB Predicted band size | 72 kDa |
| Host/Isotype | Rabbit IgG |
| Storage | Store at 4°C short term. Aliquot and store at -20°C long term. Avoid freeze/thaw cycles. |
| Species Reactivity | Human, Mouse |
| Immunogen | Fusion protein of human APLP1 |
| Formulation | pH7.4 PBS, 0.05% NaN3, 40% Glycerol |
| Application | |
|---|---|
| WB | 1/500-1/2000 |
| IHC | 1/10-1/50 |
| ELISA | 1/500-1/5000 |
![]() |
Gel: 8%SDS-PAGE, Lysate: 40 μg, Lane: Human fetal brain tissue, Primary antibody: P06985(APLP1 Antibody) at dilution 1/650, Secondary antibody: Goat anti rabbit IgG at 1/8000 dilution, Exposure time: 10 seconds |
![]() |
The image is immunohistochemistry of paraffin-embedded Human breast cancer tissue using P06985(APLP1 Antibody) at dilution 1/10. (Original magnification: ×200) |
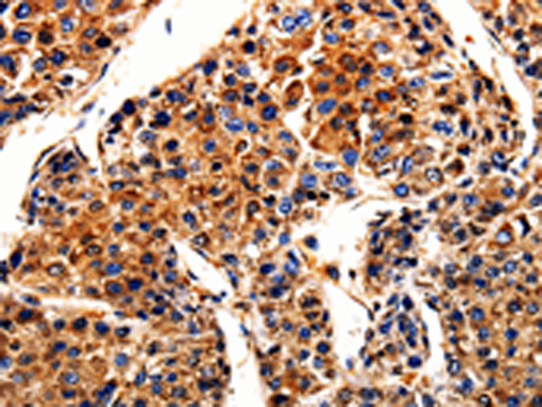
![]() |
The image is immunohistochemistry of paraffin-embedded Human liver cancer tissue using P06985(APLP1 Antibody) at dilution 1/10. (Original magnification: ×200) |
本公司的所有产品仅用于科学研究或者工业应用等非医疗目的,不可用于人类或动物的临床诊断或治疗,非药用,非食用。
暂无评论
本公司的所有产品仅用于科学研究或者工业应用等非医疗目的,不可用于人类或动物的临床诊断或治疗,非药用,非食用。
中文



发表回复