别名:BSCv; C20orf3应用:WB,IHC
反应种属:Human
规格:50μl/100μl
| Description |
|---|
| C20orf3, also known as APMAP (adipocyte plasma membrane-associated protein), is a 416 amino acid single-pass type II membrane protein that belongs to the strictosidine synthase family and is thought to play a role in adipocyte differentiation. The gene encoding C20orf3 maps to human chromosome 20, which houses over 600 genes some of which are associated with Creutzfeldt-Jakob disease, amyotrophic lateral sclerosis, spinal muscular atrophy, ring chromosome 20 epilepsy syndrome and Alagille syndrome. Additionally, chromosome 20 contains a region with numerous genes which are thought important for seminal production and may be potential targets for male contraception |
| Specification | |
|---|---|
| Aliases | BSCv; C20orf3 |
| Swissprot | Q9HDC9 |
| WB Predicted band size | 46 kDa |
| Host/Isotype | Rabbit IgG |
| Storage | Store at 4°C short term. Aliquot and store at -20°C long term. Avoid freeze/thaw cycles. |
| Species Reactivity | Human |
| Immunogen | Synthetic peptide of human APMAP |
| Formulation | pH7.4 PBS, 0.05% NaN3, 40% Glycerol |
| Application | |
|---|---|
| WB | 1/500-1/2000 |
| IHC | 1/50-1/200 |
| ELISA | 1/2000-1/5000 |
![]() |
Gel: 8%SDS-PAGE, Lysate: 40 μg, Lane 1-7: Human placenta tissue, Human fetal liver tissue, PC3 cells, 231 cells, Hela cells, HepG2 cells, A549 cells, Primary antibody: P11192(APMAP Antibody) at dilution 1/300, Secondary antibody: Goat anti rabbit IgG at 1/8000 dilution, Exposure time: 20 seconds |
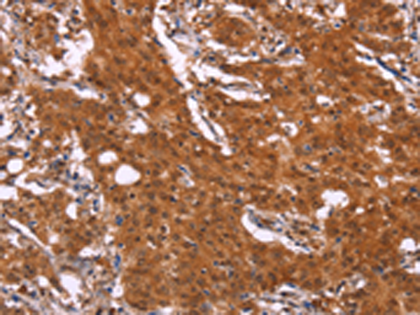
![]() |
The image is immunohistochemistry of paraffin-embedded Human thyroid cancer tissue using P11192(APMAP Antibody) at dilution 1/30. (Original magnification: ×200) |
![]() |
The image is immunohistochemistry of paraffin-embedded Human gastric cancer tissue using P11192(APMAP Antibody) at dilution 1/30. (Original magnification: ×200) |
本公司的所有产品仅用于科学研究或者工业应用等非医疗目的,不可用于人类或动物的临床诊断或治疗,非药用,非食用。
暂无评论
本公司的所有产品仅用于科学研究或者工业应用等非医疗目的,不可用于人类或动物的临床诊断或治疗,非药用,非食用。
中文



发表回复