别名:Probable C->U-editing enzyme APOBEC-2, 354-, APOBEC2应用:WB,IHC,FCM
反应种属:Human, Mouse
规格:50μl/100μl
| Description |
|---|
| APOBEC2 belongs to the cytidine and deoxycytidylate deaminase family. It is probable C to U editing enzyme whose physiological substrate is not yet known. It does not display detectable apoB mRNA editing and has a low intrinsic cytidine deaminase activity. |
| Specification | |
|---|---|
| Aliases | Probable C->U-editing enzyme APOBEC-2, 354-, APOBEC2 |
| Entrez GeneID | 10930 |
| Swissprot | Q9Y235 |
| WB Predicted band size | 25.7kDa |
| Host/Isotype | Rabbit IgG |
| Storage | Store at 4°C short term. Aliquot and store at -20°C long term. Avoid freeze/thaw cycles. |
| Species Reactivity | Human, Mouse |
| Immunogen | This APOBEC2 antibody is generated from rabbits immunized with a KLH conjugated synthetic peptide between 19-48 amino acids from the N-terminal region of human APOBEC2. |
| Formulation | Purified polyclonal antibody supplied in PBS with 0.05% sodium azide. This antibody is purified through a protein A column, followed by peptide affinity purification. |
| Application | |
|---|---|
| WB | 1/1000 |
| IHC | 1/100-1/500 |
| FCM | 1/10-1/50 |
![]() |
APOBEC2 Antibody (N-term) (Cat. #P30709) western blot analysis in mouse heart tissue lysates (15ug/lane).This demonstrates the APOBEC2 antibody detected APOBEC2 protein (arrow). |
![]() |
APOBEC2 Antibody (N-term) (Cat. #P30709) flow cytometric analysis of HL-60 cells (right histogram) compared to a negative control cell (left histogram).FITC-conjugated goat-anti-rabbit secondary antibodies were used for the analysis. |
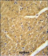
![]() |
APOBEC2 Antibody (N-term) (Cat. #P30709) immunohistochemistry analysis in formalin fixed and paraffin embedded mouse heart tissue followed by peroxidase conjugation of the secondary antibody and DAB staining. This data demonstrates the use of the APOBEC2 Antibody (N-term) for immunohistochemistry. Clinical relevance has not been evaluated. |
本公司的所有产品仅用于科学研究或者工业应用等非医疗目的,不可用于人类或动物的临床诊断或治疗,非药用,非食用。
暂无评论
本公司的所有产品仅用于科学研究或者工业应用等非医疗目的,不可用于人类或动物的临床诊断或治疗,非药用,非食用。
中文



发表回复