别名:APOLVI; APOL-VI应用:IHC
反应种属:Human
规格:50μl/100μl
| Description |
|---|
| This gene is a member of the apolipoprotein L gene family. The encoded protein is found in the cytoplasm, where it may affect the movement of lipids or allow the binding of lipids to organelles. Widely expressed; highly expressed in the uterus, fetal brain and spinal cord, also detected in heart, liver, lung, colon, spleen, thymus, prostate, placenta, adrenal gland, salivary and mammary gland. |
| Specification | |
|---|---|
| Aliases | APOLVI; APOL-VI |
| Swissprot | Q9BWW8 |
| Host/Isotype | Rabbit IgG |
| Storage | Store at 4°C short term. Aliquot and store at -20°C long term. Avoid freeze/thaw cycles. |
| Species Reactivity | Human |
| Immunogen | Synthetic peptide of human APOL6 |
| Formulation | pH7.4 PBS, 0.05% NaN3, 40% Glycerol |
| Application | |
|---|---|
| IHC | 1/50-1/200 |
| ELISA | 1/2000-1/5000 |
![]() |
The image is immunohistochemistry of paraffin-embedded Human tonsil tissue using P11580(APOL6 Antibody) at dilution 1/60. (Original magnification: ×200) |
![]() |
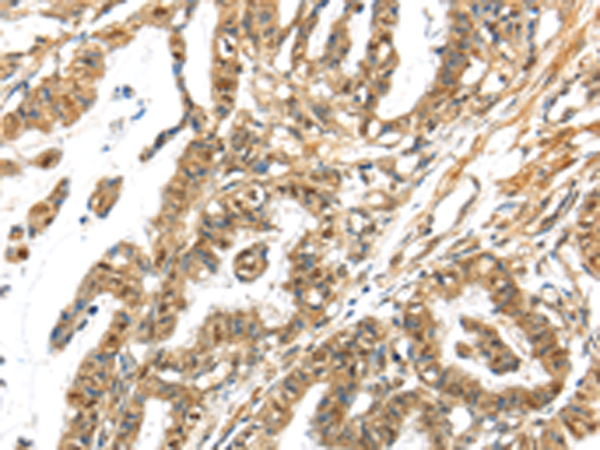
The image is immunohistochemistry of paraffin-embedded Human thyroid cancer tissue using P11580(APOL6 Antibody) at dilution 1/60. (Original magnification: ×200) |
本公司的所有产品仅用于科学研究或者工业应用等非医疗目的,不可用于人类或动物的临床诊断或治疗,非药用,非食用。
暂无评论
本公司的所有产品仅用于科学研究或者工业应用等非医疗目的,不可用于人类或动物的临床诊断或治疗,非药用,非食用。
中文


发表回复