别名:AQP9; AQP7L; AQPap; GLYCQTL应用:IHC
反应种属:Human
规格:50μl/100μl
| Description |
|---|
| Aquaporins/major intrinsic protein (MIP) are a family of water-selective membrane channels. Aquaporin 7 has greater sequence similarity with AQP3 and AQP9 and they may be a subfamily. Aquaporin 7 and AQP3 are at the same chromosomal location suggesting that 9p13 may be a site of an aquaporin cluster. Aquaporin 7 facilitates water, glycerol and urea transport. It may play an important role in sperm function. |
| Specification | |
|---|---|
| Aliases | AQP9; AQP7L; AQPap; GLYCQTL |
| Swissprot | O14520 |
| Host/Isotype | Rabbit IgG |
| Storage | Store at 4°C short term. Aliquot and store at -20°C long term. Avoid freeze/thaw cycles. |
| Species Reactivity | Human |
| Immunogen | Synthetic peptide of human AQP7 |
| Formulation | pH7.4 PBS, 0.05% NaN3, 40% Glycerol |
| Application | |
|---|---|
| IHC | 1/25-1/100 |
| ELISA | 1/2000-1/5000 |
![]() |
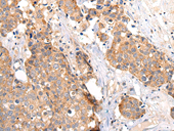
The image is immunohistochemistry of paraffin-embedded Human liver cancer tissue using P12462(AQP7 Antibody) at dilution 1/20. (Original magnification: ×200) |
![]() |
The image is immunohistochemistry of paraffin-embedded Human breast cancer tissue using P12462(AQP7 Antibody) at dilution 1/20. (Original magnification: ×200) |
本公司的所有产品仅用于科学研究或者工业应用等非医疗目的,不可用于人类或动物的临床诊断或治疗,非药用,非食用。
暂无评论
本公司的所有产品仅用于科学研究或者工业应用等非医疗目的,不可用于人类或动物的临床诊断或治疗,非药用,非食用。
中文


发表回复