别名:IRZ; ZFP289; ZNF289; NBLA10535应用:WB,IHC
反应种属:Human, Mouse, Rat
规格:50μl/100μl
| Description |
|---|
| ZNF289 (zinc finger protein 289), also known as ARFGAP2 (ADP-ribosylation factor GTPase activating protein 2), IRZ, Zfp289 or Nbla10535, functions as a GTPase-activating protein (GAP) for ARF family proteins. Localizing to the cytoplasmic side of the Golgi apparatus, ZNF289 contains one ARF-GAP domain and is found associated with COP-I-coated vesicles. |
| Specification | |
|---|---|
| Aliases | IRZ; ZFP289; ZNF289; NBLA10535 |
| Swissprot | Q8N6H7 |
| WB Predicted band size | 57 kDa |
| Host/Isotype | Rabbit IgG |
| Storage | Store at 4°C short term. Aliquot and store at -20°C long term. Avoid freeze/thaw cycles. |
| Species Reactivity | Human, Mouse, Rat |
| Immunogen | Synthetic peptide of human ARFGAP2 |
| Formulation | pH7.4 PBS, 0.05% NaN3, 40% Glycerol |
| Application | |
|---|---|
| WB | 1/500-1/2000 |
| IHC | 1/20-1/100 |
| ELISA | 1/2000-1/5000 |
![]() |
Gel: 8%SDS-PAGE, Lysate: 40 μg, Lane 1-2: A431 and hela cell, Primary antibody: P12441(ARFGAP2 Antibody) at dilution 1/200, Secondary antibody: Goat anti rabbit IgG at 1/8000 dilution, Exposure time: 15 seconds |
![]() |
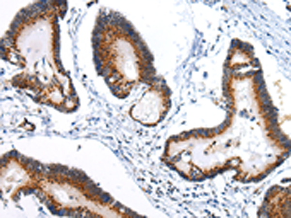
The image is immunohistochemistry of paraffin-embedded Human colorectal cancer tissue using P12441(ARFGAP2 Antibody) at dilution 1/25. (Original magnification: ×200) |
本公司的所有产品仅用于科学研究或者工业应用等非医疗目的,不可用于人类或动物的临床诊断或治疗,非药用,非食用。
暂无评论
本公司的所有产品仅用于科学研究或者工业应用等非医疗目的,不可用于人类或动物的临床诊断或治疗,非药用,非食用。
中文


发表回复