别名:D4; GDIA2; GDID4; LYGDI; Ly-GDI; RAP1GN1; RhoGDI2应用:WB,IHC
反应种属:Human, Mouse
规格:50μl/100μl
| Description |
|---|
| Members of the Rho (or ARH) protein family (see MIM 165390) and other Ras-related small GTP-binding proteins (see MIM 179520) are involved in diverse cellular events, including cell signaling, proliferation, cytoskeletal organization, and secretion. The GTP-binding proteins are active only in the GTP-bound state. At least 3 classes of proteins tightly regulate cycling between the GTP-bound and GDP-bound states: GTPase-activating proteins (GAPs), guanine nucleotide-releasing factors (GRFs), and GDP-dissociation inhibitors (GDIs). |
| Specification | |
|---|---|
| Aliases | D4; GDIA2; GDID4; LYGDI; Ly-GDI; RAP1GN1; RhoGDI2 |
| Swissprot | P52566 |
| WB Predicted band size | 23 kDa |
| Host/Isotype | Rabbit IgG |
| Storage | Store at 4°C short term. Aliquot and store at -20°C long term. Avoid freeze/thaw cycles. |
| Species Reactivity | Human, Mouse |
| Immunogen | Synthetic peptide of human ARHGDIB |
| Formulation | pH7.4 PBS, 0.05% NaN3, 40% Glycerol |
| Application | |
|---|---|
| WB | 1/500-1/2000 |
| IHC | 1/25-1/100 |
| ELISA | 1/5000-1/10000 |
![]() |
Gel: 12%SDS-PAGE, Lysate: 40 μg, Lane 1-4: K562, 293T, A431 and HepG2 cell lysates, Primary antibody: P05825(ARHGDIB Antibody) at dilution 1/500, Secondary antibody: Goat anti rabbit IgG at 1/8000 dilution, Exposure time: 10 seconds |
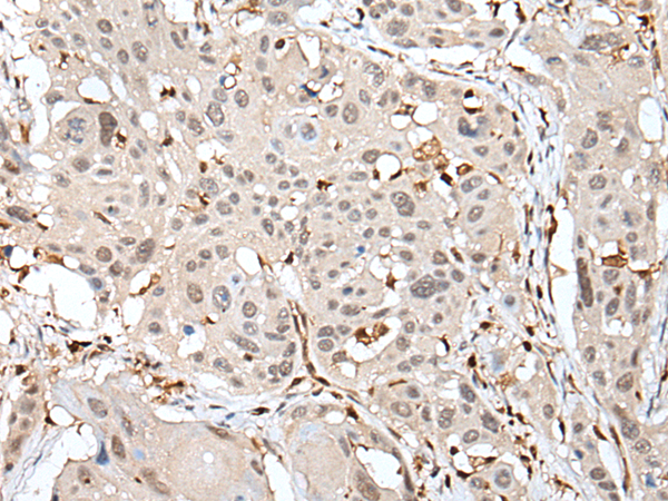
![]() |
The image is immunohistochemistry of paraffin-embedded Human esophagus cancer tissue using P05825(ARHGDIB Antibody) at dilution 1/35. (Original magnification: ×200) |
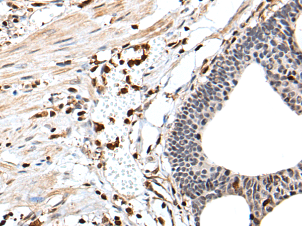
![]() |
The image is immunohistochemistry of paraffin-embedded Human gastric cancer tissue using P05825(ARHGDIB Antibody) at dilution 1/35. (Original magnification: ×200) |
本公司的所有产品仅用于科学研究或者工业应用等非医疗目的,不可用于人类或动物的临床诊断或治疗,非药用,非食用。
暂无评论
本公司的所有产品仅用于科学研究或者工业应用等非医疗目的,不可用于人类或动物的临床诊断或治疗,非药用,非食用。
中文



发表回复