别名:GTRAP48; PDZ-RHOGEF应用:IHC
反应种属:Human, Rat
规格:50μl/100μl
| Description |
|---|
| Rho GTPases play a fundamental role in numerous cellular processes that are initiated by extracellular stimuli that work through G protein coupled receptors. The encoded protein may form a complex with G proteins and stimulate Rho-dependent signals. A similar protein in rat interacts with glutamate transporter EAAT4 and modulates its glutamate transport activity. Expression of the rat protein induces the reorganization of the actin cytoskeleton and its overexpression induces the formation of membrane ruffling and filopodia. Two alternative transcripts encoding different isoforms have been described. |
| Specification | |
|---|---|
| Aliases | GTRAP48; PDZ-RHOGEF |
| Swissprot | O15085 |
| Host/Isotype | Rabbit IgG |
| Storage | Store at 4°C short term. Aliquot and store at -20°C long term. Avoid freeze/thaw cycles. |
| Species Reactivity | Human, Rat |
| Immunogen | Synthetic peptide of human ARHGEF11 |
| Formulation | pH7.4 PBS, 0.05% NaN3, 40% Glycerol |
| Application | |
|---|---|
| IHC | 1/25-1/100 |
| ELISA | 1/1000-1/2000 |
![]() |
The image is immunohistochemistry of paraffin-embedded Human brain tissue using P04596(ARHGEF11 Antibody) at dilution 1/25. (Original magnification: ×200) |
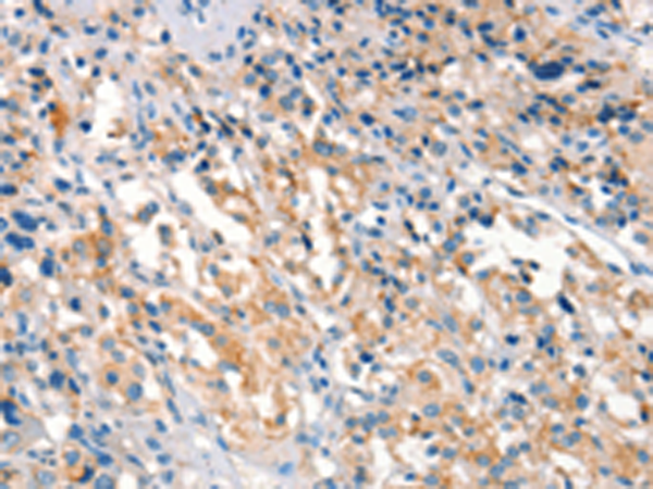
![]() |
The image is immunohistochemistry of paraffin-embedded Human thyroid cancer tissue using P04596(ARHGEF11 Antibody) at dilution 1/25. (Original magnification: ×200) |
本公司的所有产品仅用于科学研究或者工业应用等非医疗目的,不可用于人类或动物的临床诊断或治疗,非药用,非食用。
暂无评论
本公司的所有产品仅用于科学研究或者工业应用等非医疗目的,不可用于人类或动物的临床诊断或治疗,非药用,非食用。
中文


发表回复