别名:OSA2; 6A3-5; DAN15; MRD12; P250R; BRIGHT; BAF250B; ELD/OSA1应用:IHC
反应种属:Human
规格:50μl/100μl
| Description |
|---|
| This locus encodes an AT-rich DNA interacting domain-containing protein. The encoded protein is a component of the SWI/SNF chromatin remodeling complex and may play a role in cell-cycle activation. The protein encoded by this locus is similar to AT-rich interactive domain-containing protein 1A. These two proteins function as alternative, mutually exclusive ARID-subunits of the SWI/SNF complex. The associated complexes play opposing roles. Alternatively spliced transcript variants encoding different isoforms have been described. |
| Specification | |
|---|---|
| Aliases | OSA2; 6A3-5; DAN15; MRD12; P250R; BRIGHT; BAF250B; ELD/OSA1 |
| Swissprot | Q8NFD5 |
| Host/Isotype | Rabbit IgG |
| Storage | Store at 4°C short term. Aliquot and store at -20°C long term. Avoid freeze/thaw cycles. |
| Species Reactivity | Human |
| Immunogen | Synthetic peptide of human ARID1B |
| Formulation | pH7.4 PBS, 0.05% NaN3, 40% Glycerol |
| Application | |
|---|---|
| IHC | 1/30-1/150 |
| ELISA | 1/5000-1/10000 |
![]() |
The image is immunohistochemistry of paraffin-embedded Human colorectal cancer tissue using P11471(ARID1B Antibody) at dilution 1/40. (Original magnification: ×200) |
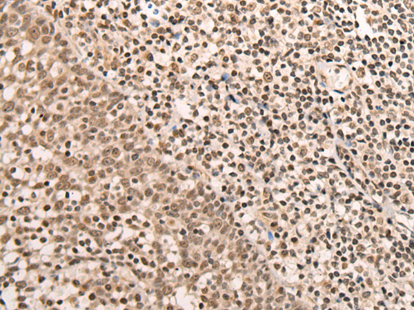
![]() |
The image is immunohistochemistry of paraffin-embedded Human tonsil tissue using P11471(ARID1B Antibody) at dilution 1/40. (Original magnification: ×200) |
本公司的所有产品仅用于科学研究或者工业应用等非医疗目的,不可用于人类或动物的临床诊断或治疗,非药用,非食用。
暂无评论
本公司的所有产品仅用于科学研究或者工业应用等非医疗目的,不可用于人类或动物的临床诊断或治疗,非药用,非食用。
中文


发表回复