别名:p200; BAF200应用:WB,IHC
反应种属:Human, Mouse
规格:50μl/100μl
| Description |
|---|
| ARID2 is a subunit of the PBAF chromatin-remodeling complex (see BAF180; MIM 606083), which facilitates ligand-dependent transcriptional activation by nuclear receptors. Involved in transcriptional activation and repression of select genes by chromatin remodeling (alteration of DNA-nucleosome topology). Required for the stability of the SWI/SNF chromatin remodeling complex SWI/SNF-B (PBAF). |
| Specification | |
|---|---|
| Aliases | p200; BAF200 |
| Swissprot | Q68CP9 |
| WB Predicted band size | 197 kDa |
| Host/Isotype | Rabbit IgG |
| Storage | Store at 4°C short term. Aliquot and store at -20°C long term. Avoid freeze/thaw cycles. |
| Species Reactivity | Human, Mouse |
| Immunogen | Synthetic peptide of human ARID2 |
| Formulation | pH7.4 PBS, 0.05% NaN3, 40% Glycerol |
| Application | |
|---|---|
| WB | 1/200-1/1000 |
| IHC | 1/25-1/100 |
| ELISA | 1/5000-1/10000 |
![]() |
Gel: 6%SDS-PAGE, Lysate: 40 μg, Lane: TM4 cell, Primary antibody: P11472(ARID2 Antibody) at dilution 1/200, Secondary antibody: Goat anti rabbit IgG at 1/8000 dilution, Exposure time: 10 seconds |
![]() |
The image is immunohistochemistry of paraffin-embedded Human thyroid cancer tissue using P11472(ARID2 Antibody) at dilution 1/25. (Original magnification: ×200) |
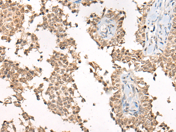
![]() |
The image is immunohistochemistry of paraffin-embedded Human ovarian cancer tissue using P11472(ARID2 Antibody) at dilution 1/25. (Original magnification: ×200) |
本公司的所有产品仅用于科学研究或者工业应用等非医疗目的,不可用于人类或动物的临床诊断或治疗,非药用,非食用。
暂无评论
本公司的所有产品仅用于科学研究或者工业应用等非医疗目的,不可用于人类或动物的临床诊断或治疗,非药用,非食用。
中文



发表回复