别名:ADP-ribosylation factor-like protein 5B, ADP-ribosylation factor-like protein 8, ARL5B, ARL8应用:WB,IHC,FCM
反应种属:Human
规格:50μl/100μl
| Description |
|---|
| ARL5B (ARL8) belongs to a family of proteins that are structurally similar to ADP-ribosylation factors (ARFs; see MIM 103180). ARLs and ARFs are part of the RAS superfamily of regulatory GTPases. |
| Specification | |
|---|---|
| Aliases | ADP-ribosylation factor-like protein 5B, ADP-ribosylation factor-like protein 8, ARL5B, ARL8 |
| Entrez GeneID | 221079 |
| Swissprot | Q96KC2 |
| WB Predicted band size | 20.4kDa |
| Host/Isotype | Rabbit IgG |
| Storage | Store at 4°C short term. Aliquot and store at -20°C long term. Avoid freeze/thaw cycles. |
| Species Reactivity | Human |
| Immunogen | This ARL8 antibody is generated from rabbits immunized with a KLH conjugated synthetic peptide between 122-154 amino acids from the C-terminal region of human ARL8. |
| Formulation | Purified polyclonal antibody supplied in PBS with 0.05% sodium azide. This antibody is prepared by Saturated Ammonium Sulfate (SAS) precipitation followed by dialysis against PBS. |
| Application | |
|---|---|
| WB | 1/1000 |
| IHC | 1/100-1/500 |
| FCM | 1/10-1/50 |
![]() |
ARL8 Antibody (C-term) (Cat. #P30945) western blot analysis in CEM cell line lysates (35ug/lane).This demonstrates the ARL8 antibody detected the ARL8 protein (arrow). |
![]() |
ARL8 Antibody (C-term) (Cat. #P30945) flow cytometric analysis of CEM cells (right histogram) compared to a negative control cell (left histogram).FITC-conjugated goat-anti-rabbit secondary antibodies were used for the analysis. |
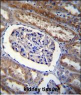
![]() |
ARL8 Antibody (C-term) (Cat. #P30945)immunohistochemistry analysis in formalin fixed and paraffin embedded human kidney tissue followed by peroxidase conjugation of the secondary antibody and DAB staining.This data demonstrates the use of ARL8 Antibody (C-term) for immunohistochemistry. Clinical relevance has not been evaluated. |
本公司的所有产品仅用于科学研究或者工业应用等非医疗目的,不可用于人类或动物的临床诊断或治疗,非药用,非食用。
暂无评论
本公司的所有产品仅用于科学研究或者工业应用等非医疗目的,不可用于人类或动物的临床诊断或治疗,非药用,非食用。
中文



发表回复