别名:ARC20; P20-ARC应用:WB,IHC
反应种属:Human, Mouse
规格:50μl/100μl
| Description |
|---|
| This gene encodes one of seven subunits of the human Arp2/3 protein complex. This complex controls actin polymerization in cells and has been conserved throughout eukaryotic evolution. This gene encodes the p20 subunit, which is necessary for actin nucleation and high-affinity binding to F-actin. Alternative splicing results in multiple transcript variants. Naturally occurring read-through transcription exists between this gene and the downstream tubulin tyrosine ligase-like family, member 3 (TTLL3), which results in the production of a fusion protein. |
| Specification | |
|---|---|
| Aliases | ARC20; P20-ARC |
| Swissprot | P59998 |
| WB Predicted band size | 20 kDa |
| Host/Isotype | Rabbit IgG |
| Storage | Store at 4°C short term. Aliquot and store at -20°C long term. Avoid freeze/thaw cycles. |
| Species Reactivity | Human, Mouse |
| Immunogen | Synthetic peptide of human ARPC4 |
| Formulation | pH7.4 PBS, 0.05% NaN3, 40% Glycerol |
| Application | |
|---|---|
| WB | 1/500-1/2000 |
| IHC | 1/50-1/200 |
| ELISA | 1/5000-1/10000 |
![]() |
Gel: 12%SDS-PAGE, Lysate: 40 μg, Lane 1-3: NIH/3T3 cell, Mouse brain tissue, Mouse thymus tissue lysates, Primary antibody: P11198(ARPC4 Antibody) at dilution 1/550, Secondary antibody: Goat anti rabbit IgG at 1/5000 dilution, Exposure time: 40 seconds |
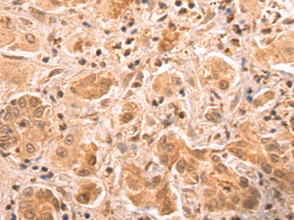
![]() |
The image is immunohistochemistry of paraffin-embedded Human liver cancer tissue using P11198(ARPC4 Antibody) at dilution 1/50. (Original magnification: ×200) |
![]() |
The image is immunohistochemistry of paraffin-embedded Human colorectal cancer tissue using P11198(ARPC4 Antibody) at dilution 1/50. (Original magnification: ×200) |
本公司的所有产品仅用于科学研究或者工业应用等非医疗目的,不可用于人类或动物的临床诊断或治疗,非药用,非食用。
暂无评论
本公司的所有产品仅用于科学研究或者工业应用等非医疗目的,不可用于人类或动物的临床诊断或治疗,非药用,非食用。
中文



发表回复