别名:应用:IHC
反应种属:Human, Mouse
规格:50μl/100μl
| Description |
|---|
| Functions as an adapter recruiting ubiquitin-protein ligases to their specific substrates (By similarity). Plays a role in endocytosis of activated G protein-coupled receptors (GPCRs) (Probable). Through an ubiquitination-dependent mechanism plays also a role in the incorporation of SLC11A2 into extracellular vesicles (By similarity). May play a role in glucose uptake (PubMed:19605364). |
| Specification | |
|---|---|
| Swissprot | Q8NCT1 |
| Host/Isotype | Rabbit IgG |
| Storage | Store at 4°C short term. Aliquot and store at -20°C long term. Avoid freeze/thaw cycles. |
| Species Reactivity | Human, Mouse |
| Immunogen | Synthetic peptide of human ARRDC4 |
| Formulation | pH7.4 PBS, 0.05% NaN3, 40% Glycerol |
| Application | |
|---|---|
| IHC | 1/50-1/100 |
| ELISA | 1/5000-1/10000 |
![]() |
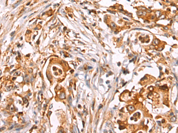
The image is immunohistochemistry of paraffin-embedded Human colorectal cancer tissue using P13716(ARRDC4 Antibody) at dilution 1/35. (Original magnification: ×200) |
![]() |
The image is immunohistochemistry of paraffin-embedded Human gastric cancer tissue using P13716(ARRDC4 Antibody) at dilution 1/35. (Original magnification: ×200) |
本公司的所有产品仅用于科学研究或者工业应用等非医疗目的,不可用于人类或动物的临床诊断或治疗,非药用,非食用。
暂无评论
本公司的所有产品仅用于科学研究或者工业应用等非医疗目的,不可用于人类或动物的临床诊断或治疗,非药用,非食用。
中文


发表回复