别名:DO; DOK1; ARTC4; CD297应用:WB,IHC
反应种属:Human
规格:50μl/100μl
| Description |
|---|
| This gene encodes a protein that contains a mono-ADP-ribosylation (ART) motif. It is a member of the ADP-ribosyltransferase gene family but enzymatic activity has not been demonstrated experimentally. Antigens of the Dombrock blood group system are located on the gene product, which is glycosylphosphatidylinosotol-anchored to the erythrocyte membrane. Allelic variants, some of which lead to adverse transfusion reactions, are known. |
| Specification | |
|---|---|
| Aliases | DO; DOK1; ARTC4; CD297 |
| Swissprot | Q93070 |
| WB Predicted band size | 36 kDa |
| Host/Isotype | Rabbit IgG |
| Storage | Store at 4°C short term. Aliquot and store at -20°C long term. Avoid freeze/thaw cycles. |
| Species Reactivity | Human |
| Immunogen | Synthetic peptide of human ART4 |
| Formulation | pH7.4 PBS, 0.05% NaN3, 40% Glycerol |
| Application | |
|---|---|
| WB | 1/1000-1/5000 |
| IHC | 1/50-1/200 |
| ELISA | 1/2000-1/10000 |
![]() |
Gel: 10%SDS-PAGE, Lysate: 40 μg, Lane: Human placenta tissue, Primary antibody: P11482(ART4 Antibody) at dilution 1/1000, Secondary antibody: Goat anti rabbit IgG at 1/8000 dilution, Exposure time: 2 minutes |
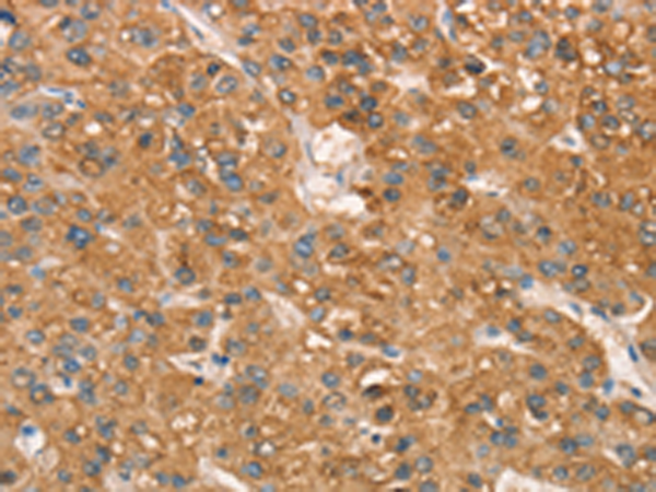
![]() |
The image is immunohistochemistry of paraffin-embedded Human liver cancer tissue using P11482(ART4 Antibody) at dilution 1/50. (Original magnification: ×200) |
![]() |
The image is immunohistochemistry of paraffin-embedded Human thyroid cancer tissue using P11482(ART4 Antibody) at dilution 1/50. (Original magnification: ×200) |
本公司的所有产品仅用于科学研究或者工业应用等非医疗目的,不可用于人类或动物的临床诊断或治疗,非药用,非食用。
暂无评论
本公司的所有产品仅用于科学研究或者工业应用等非医疗目的,不可用于人类或动物的临床诊断或治疗,非药用,非食用。
中文



发表回复