别名:ACER2; ASAH3L; PP11646; Alkaline ceramidase 2; AlkCDase 2; Alkaline CDase 2; haCER2; Acylsphingosine deacylase 3-like; N-acylsphingosine amidohydrolase 3-like应用:WB,IHC
反应种属:Human,Mouse
规格:50μl/100μl
| Description |
|---|
| Golgi ceramidase that catalyzes the hydrolysis of ceramides into sphingoid bases like sphingosine and free fatty acids at alkaline pH. |
| Specification | |
|---|---|
| Aliases | ACER2; ASAH3L; PP11646; Alkaline ceramidase 2; AlkCDase 2; Alkaline CDase 2; haCER2; Acylsphingosine deacylase 3-like; N-acylsphingosine amidohydrolase 3-like |
| Entrez GeneID | 340485 |
| Swissprot | Q5QJU3 |
| WB Predicted band size | Calculated MW: 31 kDa; Observed MW: 31 kDa |
| Host/Isotype | Rabbit IgG |
| Storage | Store at 4°C short term. Aliquot and store at -20°C long term. Avoid freeze/thaw cycles. |
| Species Reactivity | Human,Mouse |
| Immunogen | Synthesized peptide derived from ASAH3L . at AA range: 50-130 |
| Formulation | Liquid in PBS containing 50% glycerol, 0.5% BSA and 0.02% sodium azide, pH 7.3. |
| Application | |
|---|---|
| WB | 1/500-1/1000 |
| IHC | 1/50-1/100 |
| ELISA | 1/10000 |
![]() |
Western blot analysis of ASAH3L in COS7 lysates using ASAH3L antibody. |
![]() |
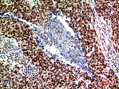
Immunohistochemistry analysis of paraffin-embedded Human breastcancer using ASAH3L antibody.High-pressure and temperature Sodium Citrate pH 6.0 was used for antigen retrieval. |
![]() |
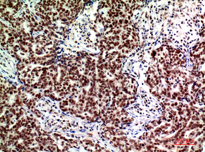
Immunohistochemistry analysis of paraffin-embedded Human breastcancer using ASAH3L antibody. High-pressure and temperature Sodium Citrate pH 6.0 was used for antigen retrieval. |
![]() |
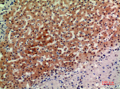
Immunohistochemistry analysis of paraffin-embedded Human liver using ASAH3L antibody.High-pressure and temperature Sodium Citrate pH 6.0 was used for antigen retrieval. |
本公司的所有产品仅用于科学研究或者工业应用等非医疗目的,不可用于人类或动物的临床诊断或治疗,非药用,非食用。
暂无评论
本公司的所有产品仅用于科学研究或者工业应用等非医疗目的,不可用于人类或动物的临床诊断或治疗,非药用,非食用。
中文




发表回复