别名:ATF5; ATFX; Cyclic AMP-dependent transcription factor ATF-5; cAMP-dependent transcription factor ATF-5; Activating transcription factor 5; Transcription factor ATFx应用:WB,IHC,ICC,IP
反应种属:Human,Mouse,Rat
规格:50μl/100μl
| Description |
|---|
| ATF5 or Activating transcription factor 5, binds to cAMP inducible promoters and is involved in gene transcription. This protein binds the cAMP response element (CRE) (consensus: 5′-GTGACGT[AC][AG]-3′), a sequence present in many viral and cellular promoters. ATF5 plays a role in inhibition of nerve growth factor induced neuronal outgrowth and regulation of neurogenesis. |
| Specification | |
|---|---|
| Aliases | ATF5; ATFX; Cyclic AMP-dependent transcription factor ATF-5; cAMP-dependent transcription factor ATF-5; Activating transcription factor 5; Transcription factor ATFx |
| Entrez GeneID | 22809 |
| Swissprot | Q9Y2D1 |
| WB Predicted band size | Calculated MW: 31 kDa; Observed MW: 31 kDa |
| Host/Isotype | Rabbit IgG |
| Storage | Store at 4°C short term. Aliquot and store at -20°C long term. Avoid freeze/thaw cycles. |
| Species Reactivity | Human,Mouse,Rat |
| Immunogen | A synthesized peptide derived from human ATF5 |
| Formulation | Rabbit IgG in phosphate buffered saline , pH 7.4, 150mM NaCl, 0.02% sodium azide and 50% glycerol. |
| Application | |
|---|---|
| IP | 1/20 |
| WB | 1/500-1/1000 |
| IHC | 1/50-1/100 |
| ICC | 1/50-1/200 |
![]() |
Western blot analysis of ATF5 in (1) Jurkat lysates; (2) 3T3 lysates; (2) C6 lysates using ATF5 antibody. |
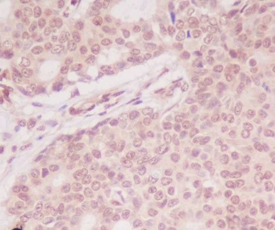
![]() |
Immunohistochemistry analysis of paraffin-embedded Human breast using ATF5 antibody.High-pressure and temperature Sodium Citrate pH 6.0 was used for antigen retrieval. |
本公司的所有产品仅用于科学研究或者工业应用等非医疗目的,不可用于人类或动物的临床诊断或治疗,非药用,非食用。
暂无评论
本公司的所有产品仅用于科学研究或者工业应用等非医疗目的,不可用于人类或动物的临床诊断或治疗,非药用,非食用。
中文


发表回复