别名:Cysteine protease ATG4D, 3422-, AUT-like 4 cysteine endopeptidase, Autophagin-4, Autophagy-related cysteine endopeptidase 4, Autophagy-related protein 4 homolog D, Cysteine protease ATG4D, mitochondrial, ATG4D, APG4D, AUTL4应用:WB,IHC
反应种属:Human, Mouse
规格:50μl/100μl
| Description |
|---|
| Macroautophagy is the major inducible pathway for the general turnover of cytoplasmic constituents in eukaryotic cells, it is also responsible for the degradation of active cytoplasmic enzymes and organelles during nutrient starvation. Macroautophagy involves the formation of double-membrane bound autophagosomes which enclose the cytoplasmic constituent targeted for degradation in a membrane bound structure, which then fuse with the lysosome (or vacuole) releasing a single-membrane bound autophagic bodies which are then degraded within the lysosome (or vacuole). APG4 is a cysteine protease required for autophagy, which cleaves the C-terminal part of either MAP1LC3, GABARAPL2 or GABARAP, allowing the liberation of form I. A subpopulation of form I is subsequently converted to a smaller form (form II). Form II, with a revealed C-terminal glycine, is considered to be the phosphatidylethanolamine (PE)-conjugated form, and has the capacity for the binding to autophagosomes. |
| Specification | |
|---|---|
| Aliases | Cysteine protease ATG4D, 3422-, AUT-like 4 cysteine endopeptidase, Autophagin-4, Autophagy-related cysteine endopeptidase 4, Autophagy-related protein 4 homolog D, Cysteine protease ATG4D, mitochondrial, ATG4D, APG4D, AUTL4 |
| Entrez GeneID | 84971 |
| Swissprot | Q86TL0 |
| WB Predicted band size | 52.9kDa |
| Host/Isotype | Rabbit IgG |
| Storage | Store at 4°C short term. Aliquot and store at -20°C long term. Avoid freeze/thaw cycles. |
| Species Reactivity | Human, Mouse |
| Immunogen | This ATG4D antibody is generated from rabbits immunized with a KLH conjugated synthetic peptide between 220-249 amino acids from the Central region of human ATG4D. |
| Formulation | Purified polyclonal antibody supplied in PBS with 0.05% sodium azide. This antibody is prepared by Saturated Ammonium Sulfate (SAS) precipitation followed by dialysis against PBS. |
| Application | |
|---|---|
| WB | 1/1000 |
| IHC | 1/100-1/500 |
![]() |
Western blot analysis of anti-APG4D Pab (Cat. #P30102) in mouse kidney tissue lysate. APG4D(arrow) was detected using the purified Pab. |
![]() |
Western blot analysis of anti-hAPG4D-L235 Pab (Cat. #P30102) in 293 cell line lysates transiently transfected with the APG4D gene (2ug/lane). hAPG4D-L235(arrow) was detected using the purified Pab. |
![]() |
APG4D Antibody (L235) (Cat. #P30102) western blot analysis in HL-60 cell line lysates (35ug/lane).This demonstrates the APG4D antibody detected the APG4D protein (arrow). |
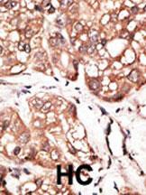
![]() |
Formalin-fixed and paraffin-embedded human cancer tissue reacted with the primary antibody, which was peroxidase-conjugated to the secondary antibody, followed by AEC staining. This data demonstrates the use of this antibody for immunohistochemistry; clinical relevance has not been evaluated. BC = breast carcinoma; HC = hepatocarcinoma. |
本公司的所有产品仅用于科学研究或者工业应用等非医疗目的,不可用于人类或动物的临床诊断或治疗,非药用,非食用。
暂无评论
本公司的所有产品仅用于科学研究或者工业应用等非医疗目的,不可用于人类或动物的临床诊断或治疗,非药用,非食用。
中文




发表回复