别名:Phospholipid-transporting ATPase IG, ATPase IQ, ATPase class VI type 11C, P4-ATPase flippase complex alpha subunit ATP11C, ATP11C, ATPIG, ATPIQ应用:WB,IHC,FCM
反应种属:Human, Hamster, Mouse
规格:50μl/100μl
| Description |
|---|
| The function of ATP11C remains unknown. |
| Specification | |
|---|---|
| Aliases | Phospholipid-transporting ATPase IG, ATPase IQ, ATPase class VI type 11C, P4-ATPase flippase complex alpha subunit ATP11C, ATP11C, ATPIG, ATPIQ |
| Entrez GeneID | 286410 |
| Swissprot | Q8NB49 |
| WB Predicted band size | 129.5kDa |
| Host/Isotype | Rabbit IgG |
| Storage | Store at 4°C short term. Aliquot and store at -20°C long term. Avoid freeze/thaw cycles. |
| Species Reactivity | Human, Hamster, Mouse |
| Immunogen | This ATP11C antibody is generated from rabbits immunized with a KLH conjugated synthetic peptide between 589-616 amino acids from the Central region of human ATP11C. |
| Formulation | Purified polyclonal antibody supplied in PBS with 0.05% sodium azide. This antibody is purified through a protein A column, followed by peptide affinity purification. |
| Application | |
|---|---|
| WB | 1/1000 |
| IHC | 1/100-1/500 |
| FCM | 1/10-1/50 |
![]() |
ATP11C Antibody (Center) (Cat.#P30680) western blot analysis in mouse lung tissue lysates (35ug/lane).This demonstrates the ATP11C antibody detected ATP11C protein (arrow). |
![]() |
ATP11C Antibody (Center) (Cat.#P30680) western blot analysis in CHO cell line lysates (35ug/lane).This demonstrates the ATP11C antibody detected the ATP11C protein (arrow). |
![]() |
ATP11C Antibody (Center) (Cat. #P30680) flow cytometric analysis of 293 cells (bottom histogram) compared to a negative control cell (top histogram).FITC-conjugated goat-anti-rabbit secondary antibodies were used for the analysis. |
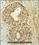
![]() |
ATP11C Antibody (Center (Cat. #P30680) immunohistochemistry analysis in formalin fixed and paraffin embedded human prostate carcinoma followed by peroxidase conjugation of the secondary antibody and DAB staining. This data demonstrates the use of the ATP11C Antibody (Center for immunohistochemistry. Clinical relevance has not been evaluated. |
本公司的所有产品仅用于科学研究或者工业应用等非医疗目的,不可用于人类或动物的临床诊断或治疗,非药用,非食用。
暂无评论
本公司的所有产品仅用于科学研究或者工业应用等非医疗目的,不可用于人类或动物的临床诊断或治疗,非药用,非食用。
中文




发表回复