别名:Sarcoplasmic/endoplasmic reticulum calcium ATPase 1, SERCA1, SR Ca(2+)-ATPase 1, Calcium pump 1, Calcium-transporting ATPase sarcoplasmic reticulum type, fast twitch skeletal muscle isoform, Endoplasmic reticulum class 1/2 Ca(2+) ATPase, ATP2A1应用:WB,IHC,FCM
反应种属:Human
规格:50μl/100μl
| Description |
|---|
| ATP2A1 encodes one of the SERCA Ca(2+)-ATPases, which are intracellular pumps located in the sarcoplasmic or endoplasmic reticula of muscle cells. This enzyme catalyzes the hydrolysis of ATP coupled with the translocation of calcium from the cytosol to the sarcoplasmic reticulum lumen, and is involved in muscular excitation and contraction. |
| Specification | |
|---|---|
| Aliases | Sarcoplasmic/endoplasmic reticulum calcium ATPase 1, SERCA1, SR Ca(2+)-ATPase 1, Calcium pump 1, Calcium-transporting ATPase sarcoplasmic reticulum type, fast twitch skeletal muscle isoform, Endoplasmic reticulum class 1/2 Ca(2+) ATPase, ATP2A1 |
| Entrez GeneID | 487 |
| Swissprot | O14983 |
| WB Predicted band size | 110.3kDa |
| Host/Isotype | Rabbit IgG |
| Storage | Store at 4°C short term. Aliquot and store at -20°C long term. Avoid freeze/thaw cycles. |
| Species Reactivity | Human |
| Immunogen | This ATP2A1 antibody is generated from rabbits immunized with a KLH conjugated synthetic peptide between 974-1001 amino acids from the C-terminal region of human ATP2A1. |
| Formulation | Purified polyclonal antibody supplied in PBS with 0.05% sodium azide. This antibody is purified through a protein A column, followed by peptide affinity purification. |
| Application | |
|---|---|
| WB | 1/1000 |
| IHC | 1/100-1/500 |
| FCM | 1/10-1/50 |
![]() |
Western blot analysis of lysates from RD,HT1080 cell line (from left to right),using ATP2A1 Antibody (C-term)(Cat. #P32582).P32582 was diluted at 1:1000 at each lane. A goat anti-rabbit IgG H&L(HRP) at 1:5000 dilution was used as the secondary antibody.Lysates at 35ug per lane. |
![]() |
ATP2A1 Antibody (C-term) (Cat. #P32582) flow cytometric analysis of K562 cells (right histogram) compared to a negative control cell (left histogram).FITC-conjugated goat-anti-rabbit secondary antibodies were used for the analysis. |
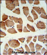
![]() |
ATP2A1 Antibody (C-term) (Cat. #P32582) IHC analysis in formalin fixed and paraffin embedded human skeletal muscle followed by peroxidase conjugation of the secondary antibody and DAB staining. This data demonstrates the use of the ATP2A1 Antibody (C-term) for immunohistochemistry. Clinical relevance has not been evaluated. |
本公司的所有产品仅用于科学研究或者工业应用等非医疗目的,不可用于人类或动物的临床诊断或治疗,非药用,非食用。
暂无评论
本公司的所有产品仅用于科学研究或者工业应用等非医疗目的,不可用于人类或动物的临床诊断或治疗,非药用,非食用。
中文



发表回复