别名:AIE2; AIK3; ARK3; AurC; SPGF5; STK13; aurora-C应用:WB,IHC
反应种属:Human, Mouse
规格:50μl/100μl
| Description |
|---|
| This gene encodes a member of the Aurora subfamily of serine/threonine protein kinases. The encoded protein is a chromosomal passenger protein that forms complexes with Aurora-B and inner centromere proteins and may play a role in organizing microtubules in relation to centrosome/spindle function during mitosis. This gene is overexpressed in several cancer cell lines, suggesting an involvement in oncogenic signal transduction. Alternative splicing results in multiple transcript variants. |
| Specification | |
|---|---|
| Aliases | AIE2; AIK3; ARK3; AurC; SPGF5; STK13; aurora-C |
| Swissprot | Q9UQB9 |
| WB Predicted band size | 36 kDa |
| Host/Isotype | Rabbit IgG |
| Storage | Store at 4°C short term. Aliquot and store at -20°C long term. Avoid freeze/thaw cycles. |
| Species Reactivity | Human, Mouse |
| Immunogen | Synthetic peptide of human AURKC |
| Formulation | pH7.4 PBS, 0.05% NaN3, 40% Glycerol |
| Application | |
|---|---|
| WB | 1/200-1/1000 |
| IHC | 1/15-1/50 |
| ELISA | 1/1000-1/2000 |
![]() |
Gel: 10%SDS-PAGE, Lysate: 40 μg, Lane 1-5: Mouse testis tissue, hela cells, human liver cancer tissue, A375 cells, 293T cells, Primary antibody: P11496(AURKC Antibody) at dilution 1/150, Secondary antibody: Goat anti rabbit IgG at 1/8000 dilution, Exposure time: 1 minute |
![]() |
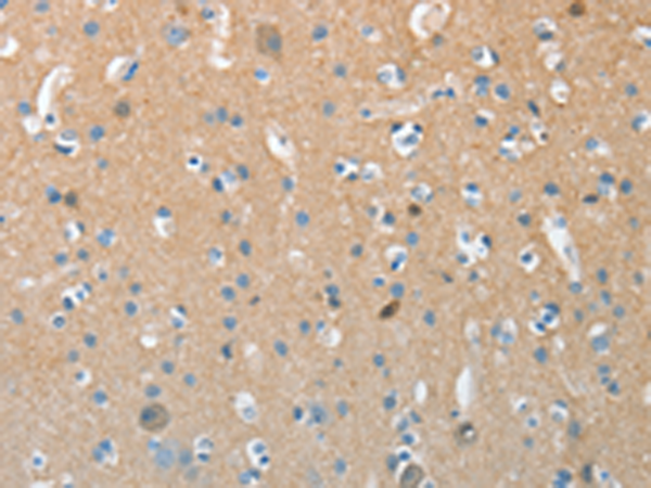
The image is immunohistochemistry of paraffin-embedded Human brain tissue using P11496(AURKC Antibody) at dilution 1/15. (Original magnification: ×200) |
本公司的所有产品仅用于科学研究或者工业应用等非医疗目的,不可用于人类或动物的临床诊断或治疗,非药用,非食用。
暂无评论
本公司的所有产品仅用于科学研究或者工业应用等非医疗目的,不可用于人类或动物的临床诊断或治疗,非药用,非食用。
中文


发表回复