别名:PDCD12应用:IHC
反应种属:Human, Mouse
规格:50μl/100μl
| Description |
|---|
| Aven binds to both Bcl-x(L) and the caspase regulator Apaf-1,which can supported that Bcl-x(L) inhibits cell death at a late (postmitochondrial) step in the death pathway.Identified in a yeast two-hybrid screen,Aven inhibited the proteolytic activation of caspases in a cell-free extract and suppressed apoptosis induced by Apaf-1 plus caspase-9. Expressing highly in the testis, ovary, and thymus . |
| Specification | |
|---|---|
| Aliases | PDCD12 |
| Swissprot | Q9NQS1 |
| Host/Isotype | Rabbit IgG |
| Storage | Store at 4°C short term. Aliquot and store at -20°C long term. Avoid freeze/thaw cycles. |
| Species Reactivity | Human, Mouse |
| Immunogen | Synthetic peptide of human AVEN |
| Formulation | pH7.4 PBS, 0.05% NaN3, 40% Glycerol |
| Application | |
|---|---|
| IHC | 1/25-1/100 |
| ELISA | 1/1000-1/2000 |
![]() |
The image is immunohistochemistry of paraffin-embedded Human liver cancer tissue using P03775(AVEN Antibody) at dilution 1/20. (Original magnification: ×200) |
![]() |
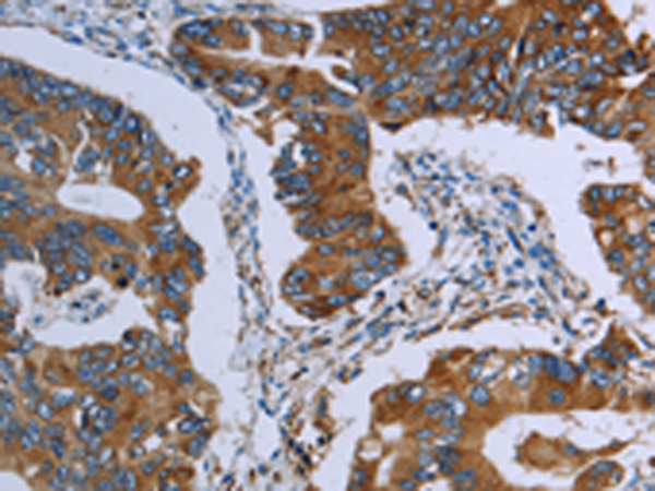
The image is immunohistochemistry of paraffin-embedded Human colon cancer tissue using P03775(AVEN Antibody) at dilution 1/20. (Original magnification: ×200) |
本公司的所有产品仅用于科学研究或者工业应用等非医疗目的,不可用于人类或动物的临床诊断或治疗,非药用,非食用。
暂无评论
本公司的所有产品仅用于科学研究或者工业应用等非医疗目的,不可用于人类或动物的临床诊断或治疗,非药用,非食用。
中文


发表回复