别名:Vasopressin-neurophysin 2-copeptin, AVP-NPII, Arg-vasopressin, Arginine-vasopressin, Neurophysin 2, Neurophysin-II, Copeptin, AVP, ARVP, VP应用:WB,IHC,ICC
反应种属:Human
规格:50μl/100μl
| Description |
|---|
| This gene encodes a precursor protein consisting of arginine vasopressin and two associated proteins, neurophysin 2 and a glycopeptide, copeptin. Arginine vasopressin is a posterior pituitary hormone which is synthesized in the supraoptic nucleus and paraventricular nucleus of the hypothalamus. Along with its carrier protein, neurophysin 2, it is packaged into neurosecretory vesicles and transported axonally to the nerve endings in the neurohypophysis where it is either stored or secreted into the bloodstream. The precursor is thought to be activated while it is being transported along the axon to the posterior pituitary. Arginine vasopressin acts as a growth factor by enhancing pH regulation through acid-base transport systems. It has a direct antidiuretic action on the kidney, and also causes vasoconstriction of the peripheral vessels. This hormone can contract smooth muscle during parturition and lactation. It is also involved in cognition, tolerance, adaptation and complex sexual and maternal behaviour, as well as in the regulation of water excretion and cardiovascular functions. |
| Specification | |
|---|---|
| Aliases | Vasopressin-neurophysin 2-copeptin, AVP-NPII, Arg-vasopressin, Arginine-vasopressin, Neurophysin 2, Neurophysin-II, Copeptin, AVP, ARVP, VP |
| Entrez GeneID | 551 |
| Swissprot | P01185 |
| WB Predicted band size | 17.3kDa |
| Host/Isotype | Rabbit IgG |
| Storage | Store at 4°C short term. Aliquot and store at -20°C long term. Avoid freeze/thaw cycles. |
| Species Reactivity | Human |
| Immunogen | This AVP antibody is generated from rabbits immunized with a KLH conjugated synthetic peptide between 102-129 amino acids of human AVP. |
| Formulation | Purified polyclonal antibody supplied in PBS with 0.05% sodium azide. This antibody is purified through a protein A column, followed by peptide affinity purification. |
| Application | |
|---|---|
| WB | 1/1000 |
| IHC | 1/100-1/500 |
| ICC | 1/10-1/50 |
![]() |
Anti-AVP Antibody (Center) at 1:1000 dilution + ZR-75-1 whole cell lysate
Lysates/proteins at 20 µg per lane. Secondary Predicted band size : 17 kDa Blocking/Dilution buffer: 5% NFDM/TBST. |
![]() |
Confocal immunofluorescent analysis of AVP Antibody (Center)(Cat#P33513) with ZR-75-1 cell followed by Alexa Fluor 488-conjugated goat anti-rabbit lgG (green).Actin filaments have been labeled with Alexa Fluor 555 phalloidin (red).DAPI was used to stain the cell nuclear (blue). |
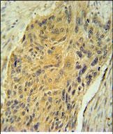
![]() |
AVP Antibody (Center) (Cat. #P33513) immunohistochemistry analysis in formalin fixed and paraffin embedded human lung carcinoma followed by peroxidase conjugation of the secondary antibody and DAB staining. This data demonstrates the use of the AVP Antibody (Center) for immunohistochemistry. Clinical relevance has not been evaluated. |
本公司的所有产品仅用于科学研究或者工业应用等非医疗目的,不可用于人类或动物的临床诊断或治疗,非药用,非食用。
暂无评论
本公司的所有产品仅用于科学研究或者工业应用等非医疗目的,不可用于人类或动物的临床诊断或治疗,非药用,非食用。
中文



发表回复