别名:Zinc-alpha-2-glycoprotein, Zn-alpha-2-GP, Zn-alpha-2-glycoprotein, AZGP1, ZAG, ZNGP1应用:WB,IHC
反应种属:Human
规格:50μl/100μl
| Description |
|---|
| AZGP1 stimulates lipid degradation in adipocytes and causes the extensive fat losses associated with some advanced cancers. It may bind polyunsaturated fatty acids. |
| Specification | |
|---|---|
| Aliases | Zinc-alpha-2-glycoprotein, Zn-alpha-2-GP, Zn-alpha-2-glycoprotein, AZGP1, ZAG, ZNGP1 |
| Entrez GeneID | 563 |
| Swissprot | P25311 |
| WB Predicted band size | 34.3kDa |
| Host/Isotype | Rabbit IgG |
| Storage | Store at 4°C short term. Aliquot and store at -20°C long term. Avoid freeze/thaw cycles. |
| Species Reactivity | Human |
| Immunogen | This AZGP1 antibody is generated from rabbits immunized with a KLH conjugated synthetic peptide between 5-32 amino acids from the N-terminal region of human AZGP1. |
| Formulation | Purified polyclonal antibody supplied in PBS with 0.05% sodium azide. This antibody is prepared by Saturated Ammonium Sulfate (SAS) precipitation followed by dialysis against PBS. |
| Application | |
|---|---|
| WB | 1/1000 |
| IHC | 1/100-1/500 |
![]() |
Western blot analysis of AZGP1 Antibody (N-term) (Cat. #P30381) in K562, Y79 cell line lysates (35ug/lane). AZGP1 (arrow) was detected using the purified Pab. |
![]() |
Western blot analysis of AZGP1 (arrow) using rabbit polyclonal AZGP1 Antibody (N-term) (Cat. #P30381). 293 cell lysates (2 ug/lane) either nontransfected (Lane 1) or transiently transfected (Lane 2) with the AZGP1 gene. |
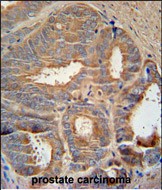
![]() |
AZGP1 Antibody (N-term) (Cat. #P30381) immunohistochemistry analysis in formalin fixed and paraffin embedded human prostate carcinoma followed by peroxidase conjugation of the secondary antibody and DAB staining. This data demonstrates the use of the AZGP1 Antibody (N-term) for immunohistochemistry. Clinical relevance has not been evaluated. |
本公司的所有产品仅用于科学研究或者工业应用等非医疗目的,不可用于人类或动物的临床诊断或治疗,非药用,非食用。
暂无评论
本公司的所有产品仅用于科学研究或者工业应用等非医疗目的,不可用于人类或动物的临床诊断或治疗,非药用,非食用。
中文



发表回复