别名:iGAT; iGNT; B3GNT1; B3GNT6; B3GN-T1; MDDGA13; BETA3GNTI应用:WB,IHC
反应种属:Human, Mouse
规格:50μl/100μl
| Description |
|---|
| This gene encodes a member of the beta-1,3-N-acetylglucosaminyltransferase family. This enzyme is a type II transmembrane protein. It is essential for the synthesis of poly-N-acetyllactosamine, a determinant for the blood group i antigen. |
| Specification | |
|---|---|
| Aliases | iGAT; iGNT; B3GNT1; B3GNT6; B3GN-T1; MDDGA13; BETA3GNTI |
| Swissprot | O43505 |
| WB Predicted band size | 47 kDa |
| Host/Isotype | Rabbit IgG |
| Storage | Store at 4°C short term. Aliquot and store at -20°C long term. Avoid freeze/thaw cycles. |
| Species Reactivity | Human, Mouse |
| Immunogen | Synthetic peptide of human B4GAT1 |
| Formulation | pH7.4 PBS, 0.05% NaN3, 40% Glycerol |
| Application | |
|---|---|
| WB | 1/200-1/1000 |
| IHC | 1/20-1/100 |
| ELISA | 1/5000-1/10000 |
![]() |
Gel: 8%SDS-PAGE, Lysate: 40 μg, Lane: Mouse brain tissue lysate, Primary antibody: P12935(B4GAT1 Antibody) at dilution 1/300, Secondary antibody: Goat anti rabbit IgG at 1/8000 dilution, Exposure time: 5 seconds |
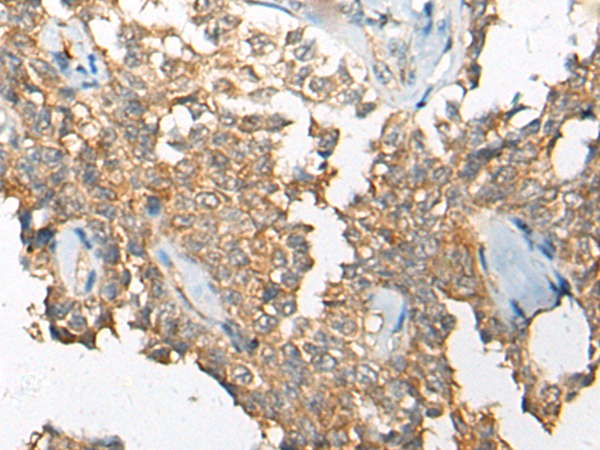
![]() |
The image is immunohistochemistry of paraffin-embedded Human ovarian cancer tissue using P12935(B4GAT1 Antibody) at dilution 1/20. (Original magnification: ×200) |
本公司的所有产品仅用于科学研究或者工业应用等非医疗目的,不可用于人类或动物的临床诊断或治疗,非药用,非食用。
暂无评论
本公司的所有产品仅用于科学研究或者工业应用等非医疗目的,不可用于人类或动物的临床诊断或治疗,非药用,非食用。
中文


发表回复