别名:JFY1; PUMA; JFY-1应用:WB,IHC
反应种属:Human
规格:50μl/100μl
| Description |
|---|
| This gene encodes a member of the BCL-2 family of proteins. This family member belongs to the BH3-only pro-apoptotic subclass. The protein cooperates with direct activator proteins to induce mitochondrial outer membrane permeabilization and apoptosis. It can bind to anti-apoptotic Bcl-2 family members to induce mitochondrial dysfunction and caspase activation. Because of its pro-apoptotic role, this gene is a potential drug target for cancer therapy and for tissue injury. Alternative splicing results in multiple transcript variants. |
| Specification | |
|---|---|
| Aliases | JFY1; PUMA; JFY-1 |
| Swissprot | Q9BXH1 |
| WB Predicted band size | 21 kDa |
| Host/Isotype | Rabbit IgG |
| Storage | Store at 4°C short term. Aliquot and store at -20°C long term. Avoid freeze/thaw cycles. |
| Species Reactivity | Human |
| Immunogen | Synthetic peptide of human BBC3 |
| Formulation | pH7.4 PBS, 0.05% NaN3, 40% Glycerol |
| Application | |
|---|---|
| WB | 1/500-1/2000 |
| IHC | 1/50-1/200 |
| ELISA | 1/5000-1/10000 |
![]() |
Gel: 12%SDS-PAGE, Lysate: 40 μg, Lane 1-2: K562 and 293T cell lysates, Primary antibody: P03780(BBC3 Antibody) at dilution 1/800, Secondary antibody: Goat anti rabbit IgG at 1/5000 dilution, Exposure time: 1 minute |
![]() |
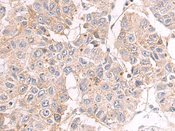
The image is immunohistochemistry of paraffin-embedded Human liver cancer tissue using P03780(BBC3 Antibody) at dilution 1/80. (Original magnification: ×200) |
![]() |
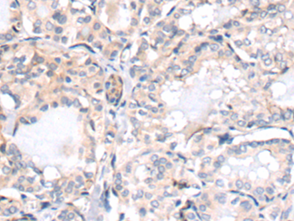
The image is immunohistochemistry of paraffin-embedded Human thyroid cancer tissue using P03780(BBC3 Antibody) at dilution 1/80. (Original magnification: ×200) |
本公司的所有产品仅用于科学研究或者工业应用等非医疗目的,不可用于人类或动物的临床诊断或治疗,非药用,非食用。
暂无评论
本公司的所有产品仅用于科学研究或者工业应用等非医疗目的,不可用于人类或动物的临床诊断或治疗,非药用,非食用。
中文



发表回复