别名:Brevican core protein, Brain-enriched hyaluronan-binding protein, BEHAB, Chondroitin sulfate proteoglycan 7, BCAN, BEHAB, CSPG7应用:WB,IHC,FCM
反应种属:Human
规格:50μl/100μl
| Specification | |
|---|---|
| Aliases | Brevican core protein, Brain-enriched hyaluronan-binding protein, BEHAB, Chondroitin sulfate proteoglycan 7, BCAN, BEHAB, CSPG7 |
| Entrez GeneID | 63827 |
| Swissprot | Q96GW7 |
| WB Predicted band size | 99.1kDa |
| Host/Isotype | Rabbit IgG |
| Storage | Store at 4°C short term. Aliquot and store at -20°C long term. Avoid freeze/thaw cycles. |
| Species Reactivity | Human |
| Immunogen | This BCAN antibody is generated from rabbits immunized with a KLH conjugated synthetic peptide between 715-741 amino acids from the C-terminal region of human BCAN. |
| Formulation | Purified polyclonal antibody supplied in PBS with 0.05% sodium azide. This antibody is purified through a protein A column, followed by peptide affinity purification. |
| Application | |
|---|---|
| WB | 1/1000 |
| IHC | 1/100-1/500 |
| FCM | 1/10-1/50 |
![]() |
BCAN Antibody (C-term) (Cat. #P30778) western blot analysis in CEM cell line lysates (35ug/lane).This demonstrates the BCAN antibody detected the BCAN protein (arrow). |
![]() |
BCAN Antibody (C-term) (Cat. #P30778) flow cytometric analysis of CEM cells (right histogram) compared to a negative control cell (left histogram).FITC-conjugated goat-anti-rabbit secondary antibodies were used for the analysis. |
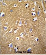
![]() |
BCAN antibody (C-term) (Cat. #P30778) immunohistochemistry analysis in formalin fixed and paraffin embedded human brain tissue followed by peroxidase conjugation of the secondary antibody and DAB staining.This data demonstrates the use of the BCAN antibody (C-term) for immunohistochemistry. Clinical relevance has not been evaluated. |
本公司的所有产品仅用于科学研究或者工业应用等非医疗目的,不可用于人类或动物的临床诊断或治疗,非药用,非食用。
暂无评论
本公司的所有产品仅用于科学研究或者工业应用等非医疗目的,不可用于人类或动物的临床诊断或治疗,非药用,非食用。
中文



发表回复