别名:Complement factor B, C3/C5 convertase, Glycine-rich beta glycoprotein, GBG, PBF2, Properdin factor B, Complement factor B Ba fragment, Complement factor B Bb fragment, CFB, BF, BFD应用:WB,IHC
反应种属:Human
规格:50μl/100μl
| Description |
|---|
| BF is complement factor B, a component of the alternative pathway of complement activation. Factor B circulates in the blood as a single chain polypeptide. Upon activation of the alternative pathway, it is cleaved by complement factor D yielding the noncatalytic chain Ba and the catalytic subunit Bb. The active subunit Bb is a serine protease which associates with C3b to form the alternative pathway C3 convertase. Bb is involved in the proliferation of preactivated B lymphocytes, while Ba inhibits their proliferation. |
| Specification | |
|---|---|
| Aliases | Complement factor B, C3/C5 convertase, Glycine-rich beta glycoprotein, GBG, PBF2, Properdin factor B, Complement factor B Ba fragment, Complement factor B Bb fragment, CFB, BF, BFD |
| Entrez GeneID | 629 |
| Swissprot | P00751 |
| WB Predicted band size | 85.5kDa |
| Host/Isotype | Rabbit IgG |
| Storage | Store at 4°C short term. Aliquot and store at -20°C long term. Avoid freeze/thaw cycles. |
| Species Reactivity | Human |
| Immunogen | This BF antibody is generated from rabbits immunized with a KLH conjugated synthetic peptide between 395-422 amino acids from the Central region of human BF. |
| Formulation | Purified polyclonal antibody supplied in PBS with 0.05% sodium azide. This antibody is prepared by Saturated Ammonium Sulfate (SAS) precipitation followed by dialysis against PBS. |
| Application | |
|---|---|
| WB | 1/1000 |
| IHC | 1/100-1/500 |
![]() |
Western blot analysis of BF Antibody (Center) (Cat.# P30371) in HepG2 cell line and mouse liver tissue lysates (35ug/lane). BF (arrow) was detected using the purified Pab. |
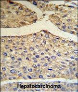
![]() |
BF Antibody (Center) (RB18685) IHC analysis in formalin fixed and paraffin embedded human hepatocarcinoma tissue followed by peroxidase conjugation of the secondary antibody and DAB staining. This data demonstrates the use of the BF Antibody (Center) for immunohistochemistry. Clinical relevance has not been evaluated. |
本公司的所有产品仅用于科学研究或者工业应用等非医疗目的,不可用于人类或动物的临床诊断或治疗,非药用,非食用。
暂无评论
本公司的所有产品仅用于科学研究或者工业应用等非医疗目的,不可用于人类或动物的临床诊断或治疗,非药用,非食用。
中文


发表回复