别名:OC; BGP; OCN应用:IHC
反应种属:Human
规格:50μl/100μl
| Description |
|---|
| Bone gamma-carboxyglutamic acid (Gla) protein, known as BGLAP, BGP or osteocalcin, is an abundant, non-collagenous protein component of bone that is produced by osteoblasts. In mice, osteocalcin is composed of a cluster of 3 genes known as OG1, OG2 and ORG, all of which can be found within a 23Kb span of genomic DNA. Human osteocalcin is a highly conserved, 46-50 amino acid, single chain protein that contains three vitamin K-dependent g-carboxyglutamic acid residues. Osteocalcin appears transiently in embryonic bone at the time of mineral deposition, where it binds to hydroxyapatite in a calcium-dependent manner. |
| Specification | |
|---|---|
| Aliases | OC; BGP; OCN |
| Swissprot | P02818 |
| Host/Isotype | Rabbit IgG |
| Storage | Store at 4°C short term. Aliquot and store at -20°C long term. Avoid freeze/thaw cycles. |
| Species Reactivity | Human |
| Immunogen | Synthetic peptide of human BGLAP |
| Formulation | pH7.4 PBS, 0.05% NaN3, 40% Glycerol |
| Application | |
|---|---|
| IHC | 1/50-1/200 |
| ELISA | 1/1000-1/5000 |
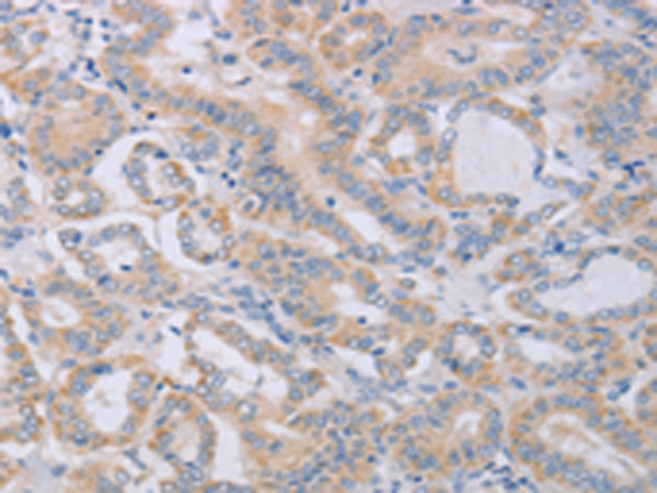
![]() |
The image is immunohistochemistry of paraffin-embedded Human brain tissue using P11598(BGLAP Antibody) at dilution 1/40. (Original magnification: ×200) |
![]() |
The image is immunohistochemistry of paraffin-embedded Human thyroid cancer tissue using P11598(BGLAP Antibody) at dilution 1/40. (Original magnification: ×200) |
本公司的所有产品仅用于科学研究或者工业应用等非医疗目的,不可用于人类或动物的临床诊断或治疗,非药用,非食用。
暂无评论
本公司的所有产品仅用于科学研究或者工业应用等非医疗目的,不可用于人类或动物的临床诊断或治疗,非药用,非食用。
中文


发表回复