别名:MIST1; BHLHB8应用:WB,IHC
反应种属:Human, Mouse, Rat
规格:50μl/100μl
| Description |
|---|
| MIST1 (muscle, intestine and stomach expression 1), also known as BHLHB8 (basic helix-loop-helix domain containing, class B, 8), is a 189 amino acid nuclear protein expressed in liver, brain, skeletal muscle and spleen. MIST1 contains a basic helix-loop-helix (bHLH) domain and belongs to the bHLH family of transcription factors. Members of this family bind to the E-box motifs present in the promoter or enhancer regions of a variety of developmentally regulated genes and function as either transcriptional activators or transcriptional repressors. MIST1 is capable of binding to E-box motifs as a homodimer or a heterodimer with E-proteins (E12 and E47) and is believed to play a role regulating the transcriptional activity of MyoD, a protein involved in the regulation of muscle cell development. More specifically, MIST1 functions as a repressor of MyoD activity, ensuring that myoblast populations do not differentiate. In addition, MIST1 is expressed in mammary epithelial cells and is essential for the regulation of mammary gland development. |
| Specification | |
|---|---|
| Aliases | MIST1; BHLHB8 |
| Swissprot | Q7RTS1 |
| WB Predicted band size | 21 kDa |
| Host/Isotype | Rabbit IgG |
| Storage | Store at 4°C short term. Aliquot and store at -20°C long term. Avoid freeze/thaw cycles. |
| Species Reactivity | Human, Mouse, Rat |
| Immunogen | Synthetic peptide of human BHLHA15 |
| Formulation | pH7.4 PBS, 0.05% NaN3, 40% Glycerol |
| Application | |
|---|---|
| WB | 1/200-1/1000 |
| IHC | 1/20-1/100 |
| ELISA | 1/5000-1/10000 |
![]() |
Gel: 12%SDS-PAGE, Lysate: 40 μg, Lane 1-5: Human muscle tissue, Human spleen tissue, Mouse Pancreas tissue, Human pancreas tissue and Mouse liver tissue lysates, Primary antibody: P12946(BHLHA15 Antibody) at dilution 1/250, Secondary antibody: Goat anti rabbit IgG at 1/8000 dilution, Exposure time: 1 minute |
![]() |
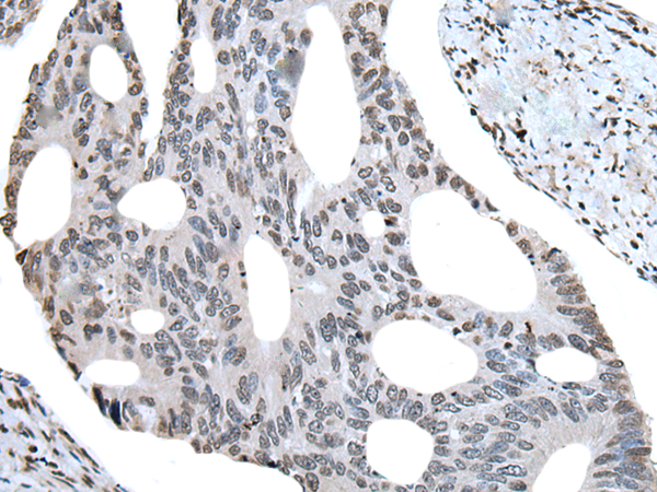
The image is immunohistochemistry of paraffin-embedded Human colorectal cancer tissue using P12946(BHLHA15 Antibody) at dilution 1/25. (Original magnification: ×200) |
本公司的所有产品仅用于科学研究或者工业应用等非医疗目的,不可用于人类或动物的临床诊断或治疗,非药用,非食用。
暂无评论
本公司的所有产品仅用于科学研究或者工业应用等非医疗目的,不可用于人类或动物的临床诊断或治疗,非药用,非食用。
中文


发表回复